- Home
- Diergezondheid
- Dierziekten
- Plaveiselcelcarcinomen
Plaveiselcelcarcinomen
Orale plaveiselcelcarcinoom
Plaveiselcelcarcinomen zijn de meest voorkomende orale tumoren van de kat. De incidentie in Nederland wordt geschat op 1 per 2000 katten. Het orale SCC is een aandoening van de oudere kat (gemiddelde leeftijd is 12,5 jaar). Er bestaat geen sex predilectie. De meest voorkomende locaties zijn sublinguaal of mandibulair, maar SCC kunnen ook in de tong zelf, maxilla of de tonsillen voorkomen. Orale SCC vertonen lokaal een zeer agressief gedrag met uitgebreide en ernstige botinvasie.


Figuur: Veel voorkomende locaties van het orale plaveiselcelcarcinoom bij de kat. Vooral de locatie onder de tong (linksboven, rechtsboven en linksonder) is berucht. Soms worden katten pas in een zeer laat stadium aangeboden (rechtsonder)
Het gebruik van vlooienbanden vergroot de kans op de ontwikkeling van orale SCC met een factor 2,5 en ook katten in huishoudens waarin gerookt wordt lopen een twee keer zo grote kans op het ontwikkelen van een oraal SCC. Omdat deze tumoren een aanzienlijk lokaal agressief gedrag vertonen, is de overlevingsduur in het algemeen kort en is er als het ware geen tijd om metastasen te ontwikkelen. Daarmee is het metastaserend potentieel van deze tumoren op dit moment niet bekend en ook niet belangrijk. Mochten we in de toekomst een adequate therapie krijgen waardoor de katten langer overleven, kan dit alsnog van belang worden.
Plaveiselcelcarcinoom van de huid

Figuur: De kat linksboven en de kat rechtsboven heeft een plaveiselcelcarcinoom van het planum nasale; de kat linksonder heeft een plaveiselcelcarcinoom van de mondhoek; de kat rechtsonder een plaveiselcelcarcinoom van de oogleden
Bron: Diergeneeskundig Memorandum Oncologie Gezelschapsdieren 2014
Auteur: Arno Roos (MSc. Clinical Oncology) met medewerking van Jurgen Tan
Dierziekte informatie Plaveiselcelcarinomen
Symptomen van plaveiselcelcircomen
Symptomen bij orale plaveiselcelcircomen
Katten met orale SCC worden meestal aangeboden in verband met speekselen, slechte eetlust en afvallen. Soms is de foetor ex ore, die ontstaat door het optreden van necrose, de reden om naar de dierenarts te gaan. Het kan de eigenaar opvallen dat de kat zich veel zit te poetsen, dat de voorpootjes vies zijn (door het poetsen langs de bek) en de vacht er slecht verzorgd uitziet
Symptomen bij plaveiselcelcircomen van de huid
Bij bekinspectie kunnen de laesies variëren van een ulceratieve laesie in het slijmvlies tot een gebied met uitgebreid verval en necrose. Bij bekinspectie moet vooral aandacht gegeven worden aan het gebied onder de tong bij het frenulum, daar dit een beruchte plek is waar de tumor mogelijk slecht zichtbaar is.
Cutane plaveiselcelcarcinomen (cutane SCC) kunnen zich op diverse manieren openbaren; de laesies variëren van plaques tot papillair, van kratervorming tot proliferatief en van erythemateus tot ulceratief. Paraneoplastische hypercalcemie komt voor maar is zeldzaam. Metastasering treedt meestal laat in het ziekteverloop op en kan leiden tot vergrote regionale lymfeklieren.
Diagnose van plaveiselcelcircomen
Diagnose en stagering bij orale plaveiselcelcircomen
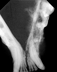
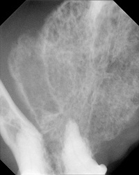
Om een goed beeld van de tumor te krijgen is vaak sedatie nodig. Tijdens deze sedatie kan de uitgebreidheid van de tumor bepaald worden. Tevens kunnen dan, indien nodig, ook röntgenfoto’s van de kaak genomen worden en kunnen histologische biopten genomen worden om de diagnose te bevestigen. De regionale lymfeklieren kunnen nagevoeld worden en aangeprikt worden. Vergroting van de mandibulaire lymfeknopen kan veroorzaakt worden door metastasen, maar zal vaker secundair aan de in de tumor aanwezige ontsteking zijn. Zoals eerder vermeld worden metastasen op afstand, zoals in de longen, zeer zelden aangetroffen omdat de patiënten meestal niet lang genoeg leven om deze te ontwikkelen. Dit maakt het nemen van thoraxfoto’s in het kader van stageren dubieus. In die gevallen, waar een zeer uitgebreide tumor aanwezig is, kan men het nemen van thoraxfoto’s overwegen, maar moet men zich realiseren dat de uitkomst hiervan de therapie zeer waarschijnlijk niet zal beïnvloeden.


Bij orale plaveiselcelcarcinomen kunnen op röntgenfoto’s soms uitgebreide benige veranderingen zichtbaar zijn. Links is de röntgenfoto van de kat van de bovenste afbeeldingen in de inleiding.
Diagnose en stagering bij plaveiselcelcircomen van de huid
De diagnose moet gesteld worden door middel van bioptname. Dunne naald aspiratiebiopten zijn een eenvoudige en goedkope eerste optie, maar als deze niet diagnostisch zijn moet een histologisch biopt genomen worden. Als de anatomische localisatie dat toelaat, kan gekozen worden voor een ruime verwijdering en wordt het nemen van een excisie biopt gelijk therapeutisch. In gebieden, waar ruime verwijdering moeilijk of niet mogelijk is, verdient het de voorkeur eerst een incisiebiopt te nemen, rekening houdend met een volgend therapeutisch plan.
Voor het stageren van de patiënt moet men de exacte grootte en begrenzing van de primaire tumor bepalen. Voor grote, invasieve of gefixeerde tumoren kan dat inhouden dat er gebruik gemaakt moet worden van technieken zoals MRI of CT. Daarnaast zullen de regionale lymfeklieren beoordeeld en gepuncteerd moeten worden en moet de patiënt gecontroleerd worden op metastasen op afstand. Het stageringsysteem voor feline (epi)dermale tumoren is weergegeven in onderstaande tabel.

Tabel: Stageringsysteem voor feline (epi)dermale tumoren
Behandeling van plaveiselcelcircomen
Behandeling van orale plaveiselcelcircomen
Er bestaat op dit moment geen effectieve behandeling voor katten met orale SCC. In zeer vroege stadia kan agressieve chirurgie (bijvoorbeeld mandibulectomie) leiden tot langdurige overleving, maar meestal zullen de katten pas in een vergevorderd stadium aangeboden worden.
Vele therapieën zijn geprobeerd en beschreven, zoals chemotherapie, bestraling, chemotherapie én bestraling, NSAID’s, corticosteroïden, fotodynamische therapie en immunotherapie, maar allen zijn op zijn best palliatief en men zal een goede afweging moeten maken tussen de belasting die een behandeling met zich meebrengt en de tijdwinst die men ermee behaalt.
Naar onze mening is het inzetten van NSAID’s altijd geïndiceerd. Ook al remt het de tumorgroei mogelijk slechts beperkt, het pijnstillende effect is evengoed gewenst. Op dit moment loopt er bij ons in de praktijk een trial met de behandeling van orale SCC met (humaan) interleukine-2. Voordeel van deze behandeling is dat het weinig belastend voor de kat is, met slechts maandelijks één injectie die intra-laesionaal toegediend moet worden. De eerste resultaten lijken erop te wijzen dat we hiermee de mediane overlevingstijd verlengen van 45 naar 90 dagen. Met het verschijnen van het voor katten geregistreerde interleukine (Oncept IL-2) zal deze trial worden uitgebreid naar dit nieuwe product. In vroege stadia is ook fotodynamische therapie te overwegen, maar zelfs bij behandeling in deze vroege stadia treedt vaak recidief op.
Behandeling van placeiselcelcircomen van de huid
De voorkeursbehandeling van cutane SCC is chirurgie. Bij SCC van de oorschelpen moet men zich niet laten verleiden tot het doen van een partiële resectie van de oorschelp, daar het risico van recidief dan blijft bestaan (zie onderstaande afbeeldingen).

Onvoldoende agressieve chirurgie bij plaveiselcelcarcinomen van de oorschelp geeft een grote kans op lokaal recidief. Het verkrijgen van voldoende marge kan moeilijk zijn in deze gevallen.
Bij een totale amputatie van de oorschelp zal men in het algemeen curatief gehandeld hebben. Bij zeer uitgebreide SCC, die doorlopen tot in de gehoorgang, kan het noodzakelijk zijn tevens een totale ablatio van de gehoorgang uit te voeren om voldoende marge te creëren.

Links: kat direct post-operatief na beiderzijdse oorschelpamputatie in verband met plaveiselcelcarcinomen. Rechts: het cosmetisch effect van een éénzijdige oorschelpamputatie is ook heel acceptabel
Ook bij SCC van het planum nasale is chirurgie een optie; echter, het cosmetisch effect van deze ingreep moet goed met de eigenaren besproken worden. Als alternatief kan ook besloten worden tot radiotherapie. De resultaten hiervan zijn goed, maar hangen af van het stadium van de ziekte: T1 tumoren hebben een 85 procent éénjarige overleving, maar bij T3 tumoren is dit nog maar 45 procent. Voor het bestralen van deze oppervlakkige tumoren is orthovoltage bestraling ook geschikt en dit is op meerdere plekken in Nederland beschikbaar. Chemotherapie als monotherapie of als adjuvant therapie naast radiotherapie wordt beschreven. Hierbij wordt carboplatine of een mengsel van carboplatine en sesamolie in het planum nasale gespoten. De naar onze mening grote kans op contaminatie van de omgeving met cytostatica bij deze methode, is voor ons de reden deze behandeling niet uit te voeren. Oppervlakkige SCC van het planum nasale komen eveneens in aanmerking voor fotodynamische therapie.

Bestraling van een plaveiselcelcarcinoom van het planum nasale met behulp van orthovoltage radiotherapie
Bowen’s disease is het voorkomen van multiple oppervlakkige laesies, ook wel ‘multicentrisch SCC in situ’ genoemd. In tegenstelling tot de door UV licht geïnitieerde SCC, worden de laesies vooral gevonden in behaarde gepigmenteerde gebieden van de huid en is er geen relatie met blootstelling aan zonlicht. De laesies blijven oppervlakkig en beperkt tot het epitheel en groeien niet door de basale membraan heen. De laesies tonen zich als korstige, snel bloedende, pijnlijke plekken. Als het om één of enkele plekken gaat, is chirurgie te overwegen en in het algemeen zal de tumor niet recidiveren; echter men moet er wel rekening mee houden dat op andere plaatsen nieuwe laesies kunnen ontstaan. Als het aantal plaatsen beperkt is, kan men ook fotodynamische behandeling overwegen; bij een groot aantal aangetaste gebieden zou men kunnen behandelen met een Alceran® (melfalan) bevattende zalf. Men moet zich dan echter wel realiseren dat contaminatie van de omgeving met dit cytostaticum kan optreden.


Kat met multiple plaveiselcelcarcinomen bij de mondhoek (linksboven), tenen (rechtsboven) en buigzijde van de elleboog (linksonder). Rechtsonder: laesie bij de elleboog drie weken na fotodynamische therapie met behulp van radachlorin®

Stroomdiagram voor katten met SCC aan de kop
Prognose van plaveiselcelcircomen
De prognose voor katten met een oraal SCC is zeer slecht met een mediane overlevingsduur van 45 dagen. Slechts als de tumor (per toeval) in een zeer vroeg stadium vastgesteld is, kan chirurgie voor een lange overlevingsduur zorgen. De goede overlevingstijden van katten met oraal SCC na mandibulectomie, die worden beschreven, zijn verkregen met katten waarbij de tumor nog in een zeer vroeg stadium was. Alle overige therapieën, zoals hierboven beschreven, zijn palliatief en verlengen de overlevingsduur slechts beperkt.