- Home
- Diergezondheid
- Dierziekten
- Aviaire-Influenza
Aviaire influenza (vogelgriep)
Vogels
Hoogpathogene aviaire influenza (HPAI), ook wel klassieke vogelpest of vogelgriep genoemd, is een virusziekte die meestal zeer acuut verloopt, met algemene ziekteverschijnselen en hoge sterfte bij hoenderachtigen en vele andere vogelsoorten. Vooral (wilde) watervogels worden gezien als virusreservoir voor aviaire influenzavirussen. AI is een meldingsplichtige aandoening volgens artikel 2.12 en 5.3 van de Wet dieren. In de Europese Diergezondheidsverordening (EU) 2016/429 is hoogpathogene aviaire influenza aangemerkt als categorie A-ziekte, wat wil zeggen dat het een bestrijdingsplichtige dierziekte is. In Europese regelgeving zijn ook de kaders van bestrijding vastgelegd (gedelegeerde verordening (EU) 2020/687). Laagpathogene aviaire influenza is aangemerkt als een categorie D-ziekte, wat wil zeggen dat de overheid niet tot bestrijding verplicht is.
Runderen
Voor runderen staat influenza A-virus niet in de Wet Dieren beschreven en bestaat ook geen Europees wettelijk kader, omdat het rund tot nu toe als een zogenaamde ‘dead end host’ werd beschouwd. Sinds maart 2024 is gebleken dat er in de USA een spillover van hoogpathogene aviaire influenzavirus (HPAIv), H5N1, vanuit een wilde vogel naar een melkkoe heeft plaatsgevonden, dat zich via en onder melkkoeien heeft verspreid. Daarna is het vogelgriepvirus op minimaal 1000 melkveebedrijven in 17 staten in de VS aangetoond bij runderen, maar ook bij katten en landvogels op deze bedrijven en bij tientallen mensen die in contact waren geweest met besmette runderen. Daarnaast is het op één bedrijf aangetoond bij geitenlammeren en bij vier alpaca’s op een hobbyboerderij. Vanwege het mogelijk zoönotisch aspect bij een eventuele aanwijzing voor HPAI bij melkkoeien is door LVVN in januari 2025 een draaiboek opgesteld: www.rijksoverheid.nl/documenten/rapporten/2025/01/31/bijlage-6-draaiboek-hpai-melkkoeien.
Vanwege deze nieuwe situatie is het Veterinair Dossier AI bij rund ingevoegd in dit Veterinair Dossier aviaire influenza (vogelgriep).
Meldingsplichtig
AI bij vogels is een meldingsplichtige ziekte ingevolge artikel 2.12 en 5.3 van de Wet dieren. Indien er een klinische verdenking bestaat op AI, dient dit te worden gemeld bij het centrale meldpunt van de NVWA (tel: 045 546 31 88).
AI bij runderen is niet in de Wet Dieren beschreven en er bestaat ook geen Europees wettelijk kader. Een klinische verdenking is daarom formeel niet meldingsplichtig. Echter, vanwege het mogelijk zoönotisch aspect is door LVVN en de stakeholders een Beleidsdraaiboek HPAI bij melkkoeien opgesteld (jan 2025). Een positieve testuitslag van AI bij runderen dient wel gemeld te worden bij het centrale meldpunt van de NVWA (tel: 045 546 31 88).
Voor meer informatie over de regelgeving, beleids- en/of bestrijdingsdraaiboeken en melden kijk op:
- www.nvwa.nl/onderwerpen/dierziekten/regelgeving-en-draaiboeken
- www.nvwa.nl/onderwerpen/dierziekten/melden-dierziekte
- www.rijksoverheid.nl/documenten/rapporten/2025/01/31/bijlage-6-draaiboek-hpai-melkkoeien
Veterinaire updates, het actuele nieuws, webinars en andere informatie vind je in ons dossier Vogelgriep.
Veterinair kennisdossier aviaire influenza (vogelgriep)
- Verschijnselen
- Diagnose
- Prevalentie
- Aanpak besmette bedrijven
- Preventie en monitoring
- Monitoring & Early Warning
- Regelgeving
- Vaccinatie
- Websites
- Bronvermelding
Het virus
Aviaire influenzavirussen (AIV) zijn influenza A-virussen behorend tot de familie van orthomyxovirussen (1). Binnen de familie van orthomyxovirussen zijn ook andere typen influenzavirus aanwezig, namelijk B, C en D. Infecties met deze typen worden echter niet gezien bij vogels (zie ook afbeelding 1). Bij vogels worden dus enkel type A-influenzavirussen waargenomen (2). Type A staat echter niet voor aviair, wat wil zeggen dat type A-influenzavirussen ook bij andere diersoorten voorkomen zonder dat deze varianten bij vogels voorkomen.
Het rund wordt sinds 2016 als natuurlijke gastheer van influenza type D beschouwd (43). Voor influenza- A werd het rund tot voor kort als ‘dead end host’ beschouwd, aangezien er wel infecties van runderen met diverse serotypen werden beschreven, die niet door runderen werden doorgegeven. Sinds maart 2024 is voor het eerst gebleken dat een specifiek type A- influenza (H5N1 2.3.4.4b) overdraagbaar is van rund naar rund en andere gastheersoorten zoals pluimvee, katten alsook naar de mens.
Afbeelding 1. Natuurlijke gastheren van influenzavirus type A, B, C en D. Opvallend is dat varkens een natuurlijke (potentiële) gastheer vormen voor alle vier de types. Pluimvee is enkel de natuurlijke gastheer voor influenzavirus type A (bewerkte figuur uit; 2).
Het genoom van influenzavirus-type A bestaat uit acht RNA-segmenten die omgeven zijn door een nucleocapside die vervolgens weer omgeven is door een envelop (1) bestaande uit twee vettige lagen (3). Er zijn drie typen eiwitten aanwezig op de envelop van het virus: haemagglutinine (HA), neuraminidase (NA) en het matrixproteïne 2 (M2) (1,3,4). Het HA-eiwit zorgt voor binding aan en het binnentreden van het virus in potentiële gastheercellen (3,4). Het NA-eiwit speelt een rol in de verspreiding van het virus doordat het mogelijk maakt voor virusdeeltjes om los te komen uit geïnfecteerde gastheercellen en niet samen te klonteren (3). Het M2-eiwit fungeert als een ion-kanaal (1). De verschillende antigene subtypes van influenzavirus-type A worden onderscheiden op basis van deze achttien haemagglutinine (HA)- en elf neuraminidase (NA)-eiwitten (4).

Afbeelding 2. De structuur van influenza A-virus (Bron: Hi Eun Jung and Heung Kyu Lee - https://www.mdpi.com/1999-4915/12/5/504/htm)
Stammen met eenzelfde HN-code kunnen infectieus zijn voor verschillende vogelgastheerspecies maar binnen een species compleet verschillende klinische ziektebeelden geven. Daarnaast kunnen ze besmettelijk zijn voor andere diersoorten. De H-typen 1 tot en met 16 komen, in combinatie met de N-typen 1 tot en met 9, voor bij vogels, waaronder pluimvee (1,2) en verschillende zoogdieren. De H-typen 17 en 18, respectievelijk in combinatie met N-typen 10 en 11, komen voor bij vleermuizen (4). Recent is ook H19 aangetoond bij eenden (39).
Hoog- en laagpathogene aviaire influenza virussen
Aviaire influenzavirussen worden vaak ingedeeld in pathotypes: HPAI (hoogpathogene AI) en LPAI (laagpathogene AI). Deze indeling heeft betrekking op het ziekmakend vermogen in kippen, en is niet een-op-een gerelateerd aan het ziekmakend vermogen in de mens (1). Ook in de Europese richtlijnen is een onderscheid gemaakt in HPAI en LPAI, waarbij de WOAH-differentiatieregels worden gehanteerd. Het onderscheid tussen hoog- en laagpathogene aviaire influenza volgens de WOAH (World Organisation for Animal Health) wordt als volgt gemaakt (1):
HPAI:
- Elk virus dat behoort tot influenza-type A en een IVPI (intraveneuze pathogeniteitsindex) >1,2 heeft bij 6 weken oude SPF-kuikens (in de praktijk komt deze index alleen voor bij influenzavirussen van het H5- en/of H7-subtype);
- Of: het virus leidt tot minimaal 75% mortaliteit in 4 tot 8 weken oude kuikens bij intraveneuze toediening;
- Of: het gaat om een influenza A-virus met H5 of H7, waarbij door middel van nucleotidesequentiebepaling aangetoond is dat er zich meerdere basische aminozuren op de splitsingsplaats van het haemagglutinine-precursor-eiwit bevinden die overeenkomen met een sequentie die al eerder bij vastgestelde hoogpathogene AIV-isolaten is gevonden.
LPAI:
LPAI-virussen van het type H5 en H7 zijn alle influenza type A-virussen met een H5 of H7 die niet onder de HPAI-virussen vallen. Deze LPAI-subtypen hebben de potentie om te muteren naar HPAI-virussen indien ze binnen pluimveepopulaties kunnen circuleren.
Alle andere bij vogels voorkomende AI-virussen, niet behorende tot H5 of H7 worden geïdentificeerd als LPAI. In de Europese regelgevingen wordt LPAI vaak beperkt tot alleen LP-H5- en H7-stammen.
HP-H5N1-influenzastammen worden volgens een uniform nomenclatuursysteem geclassificeerd. Voor HP-H5N1 wordt uitgegaan van het HP-H5N1-virus dat in 1996 is aangetroffen in een gans (goose/Guangdong, Gs/GD-achtige viruslijn). Er wordt gekeken naar de nucleotidesequenties van het HA-gen en met verschillende parametermodellen en boomconstructiemethoden wordt verwantschap bepaald. De nomenclatuur gaat uit van een clade-nummer (0 tot en met 9) gevolgd door een verdere nummering (x.x.x). De huidige (2020-2025) wereldwijd dominante HP-H5N1-virussen behoren tot clade 2.3.4.4b (35, 37).
Antigenetische drift en shift
Influenza A-virussen hebben een grote variabiliteit ten gevolge van spontane mutaties (alle genen) (en selectie) en reassortments in de glycoproteïne HA en NA die aanwezig zijn op de envelop van het virus. Deze variaties kunnen optreden door twee fenomenen: drift en shift (zie ook afbeelding 3). Puntmutaties in de HA- en NA-genen die leiden tot antigene veranderingen in de ‘coding-eiwitten’ worden antigenetische drift genoemd (1). Influenzavirussen zijn gevoelig voor puntmutaties; binnen een uitbraak komen deze mutaties zeer frequent voor (35).
Wanneer twee influenzavirussen gelijktijdig dezelfde gastheercel infecteren, bestaat de mogelijkheid dat er antigenetische shift plaatsvindt, ook wel reassortment genoemd. Hierbij wordt een deel van de genetische informatie van AI-virus ‘X’ uitgewisseld met AI-virus ‘Y’. Hierdoor ontstaat een nieuw AI-virus met mogelijk andere ziekteverwekkende eigenschappen voor zowel mens als dier (1). Het dier waarin deze reassortment plaatsvindt, wordt ook wel de ‘mixing vessel’ genoemd (35). Ook als de HA- en NA-genen hetzelfde blijven, kunnen andere gen-segmenten uitgewisseld worden: de antigeneticiteit blijft hetzelfde maar de biologische eigenschappen van het virus kunnen hierdoor (sterk) veranderen.

Afbeelding 3. A: influenza A-virusdeeltje; B: antigenetische drift; C: antigenetische shift (5)
Gevoelige diersoorten
AI-virus is bij vogels aangetoond in veel vogelsoorten (6). Watervogels vormen het natuurlijk reservoir voor AIV (1).
LPAI komt endemisch voor bij Charadriiformes (bijvoorbeeld meeuwen) en Anseriformes (zoals eenden en ganzen). In veel gevallen is het virus geadapteerd aan een species en zal slechts beperkt voorkomen bij een andere species, tenzij een adaptatie plaatsgevonden heeft. Wilde watervogels die naar Nederland trekken om hier te overwinteren brengen het vogelgriepvirus mee (5). In het afgelopen decennium gaf dit seizoensgebonden, incidentele besmettingen van verschillende AI-subtypen bij gehouden pluimvee in de periode van oktober tot mei. Sinds oktober 2021 blijft het HPAI (H5N1)-virus echter circuleren in de wilde (water)vogelpopulatie.
Naast vogels kunnen, incidenteel, ook zoogdieren geïnfecteerd raken met vogel AIV-stammen. In de periode van 2021-2025 zijn bij meerdere zoogdieren in Nederland (bron Dutch Wildlife Health Centre) en andere Europese landen HPAI-H5N1-besmettingen vastgesteld, hoogstwaarschijnlijk door contact met en opname van infectieus materiaal (opeten van zieke of dode wilde vogels).
Clade 2.3.4.4b van het HP-H5N1-virus (goose/Guangdong) afkomstig uit Eurazië werd tegen het einde van 2021 ook gevonden in Noord-Amerika en verspreidde zich over het Amerikaanse continent via wilde vogels en heeft ook Antarctica bereikt. Naast commercieel gehouden pluimvee raakten ook meerdere soorten land- en zeezoogdieren geïnfecteerd (8,9). Tegen het einde van 2022 vond er massasterfte plaats in Peruaanse pelikanen waarbij dode dieren positief testten op het H5N1-virus. Tegen het begin van 2023 werden ook dode zeezoogdieren (zeeleeuwen en dolfijnen) aangetroffen in Peru. Onder de zeeleeuwen vond massasterfte plaats. Daarnaast werd het virus van clade 2.3.4.4b ook in Humboldt-aalscholvers en drieteenzandlopers aangetroffen in het Zuid-Amerikaanse land (9).
In Spanje werd in 2022 een nertsenbedrijf besmet met H5N1-virus (clade 2.3.4.4b). De piekmortaliteit liep op tot 4,3 procent en als klinische symptomen werden verminderde eetlust, verhoogde speekselvloed, depressie, bloederige snuiten en neurologische verschijnselen als ataxie en tremoren waargenomen. Tijdens sectie werd met name een hemorragische pneumonie en hepatisatie van de longen gezien. Op dit bedrijf werd transmissie tussen de nertsen aannemelijk geacht. Het bedrijf is door de Spaanse overheid geruimd. Het is bekend dat nertsen heel gevoelig zijn voor humane en aviaire influenzavirussen (10).
Vanaf de zomer van 2023 zijn in Finland meerdere bedrijven met gehouden pelsdieren (onder andere vossen, nertsen en wasbeerhonden) positief getest op H5N1 clade 2.3.4.4b BB, ook wel de ‘meeuwenvariant’ genoemd. Op de besmette bedrijven vond acute sterfte plaats en vertoonden dieren neurologische verschijnselen, diarree en lethargie. Tijdens sectie werd een beeld van sepsis en afwijkingen in de longen waargenomen. Het is bekend dat wilde vogels zoals meeuwen en kauwen veelvuldig de bedrijven op konden en ook toegang hadden tot de kooien waarin de pelsdieren werden gehouden. Massasterfte onder zwartkopmeeuwen, met dezelfde HP-H5N1 als in de pelsdieren, vond plaats in dezelfde regio’s in Finland als waar de bedrijven stonden. Introductie van het virus in de pelsdieren wordt dan ook sterk gerelateerd aan introductie vanuit de wilde vogels. Niet uitgesloten is dat er binnen bedrijven ook transmissie tussen de pelsdieren heeft plaatsgevonden. Gezien de snelheid en grote aantallen dieren die besmet raakten op de bedrijven, en de gevonden mutaties E627K in het PB2-gen en de T271A-mutatie geven hier aanleiding toe. Echter, bewezen transmissie tussen de zoogdieren is er niet (11).
Infecties met HP-H5N1-virus in katachtigen is veelvuldig aangetoond (13), tevens zijn infecties in honden (14) (15) en in marterachtigen waargenomen (16).
Bij varkens komen H1N1, H1N2 en H3N2 frequent voor (17). Hoewel deze virussen vaak eenzelfde subtype-typering hebben als bij vogels, zijn dit doorgaans varken-geadapteerde stammen (‘swine’ influenza). Ook is de H5N1 (Gs/GD virus) bij varkens sporadisch aangetoond, echter niet in Nederland (18). Varkens vormen een verhoogd risico voor antigene shift omdat zij tegelijkertijd zowel vogelvirussen als varkensvirussen bij zich kunnen dragen. Varkens hebben zowel alfa-2,3-receptoren (avian-like receptors) als alfa 2,6-receptoren (human-like receptors) in hun respiratietractus (zie ook ‘Volksgezondheid’). Hier kunnen potentieel zowel aviaire, varkens- en humane griepvirussen in dezelfde gastheercel samenkomen, potentieel leidend tot antigenetische shift (indien zij gelijktijdig in dezelfde gastheercel vermeerderen) (19).
Ook kalkoenen zijn verhoogd gevoelig voor swine Influenza virussen (40).
In de Verenigde Staten is sinds maart 2024 H5N1 (clade 2.3.4.4b genotype B3.13) aangetoond in melkvee op vele bedrijven, verspreid over verschillende staten. Vanaf januari 2025 is infectie van melkvee met een tweede genotype (D1.1) aangetoond in twee staten van de VS. Bij besmette melkkoeien wordt het virus in hoge concentraties uitgescheiden in de melk. Het virus kan in rauwe gekoelde melk langere tijd overleven en is ook in rauwmelkse kaas(57) en in vlees van een slachtrund aangetoond. Vanwege het mogelijk zoönotisch aspect is in dit dossier in diverse hoofdstukken informatie ingevoegd betreffende HPAI bij runderen.
Hetzelfde type H5N1- virus is ook aangetoond bij geitenlammeren(12) en bij alpaca’s. Experimentele infectie van geiten met zowel het rundergenotype B3.13 alsook het aviaire genotype B1.2 blijken een vergelijkbaar ziektebeeld als bij rund op te wekken. De geiten ontwikkelden ernstige mastitis en er vond virusoverdracht plaats naar zogende lammeren(56).
Humane infecties zijn beschreven met verschillende typen aviaire influenzavirussen (5,20). Zie ‘Volksgezondheid’ voor meer informatie hierover.
Volksgezondheid
De humane seizoensgriep wordt veroorzaakt door virussen die binnen de populatie van mensen circuleert en is dus niet afkomstig van vogels. Naast type B-influenzavirussen zijn het type A-influenzavirussen die effectief kunnen circuleren bij mensen (H1N1, H2N2 en H3N2). Mensen zijn weinig gevoelig voor AI-virus van vogels (21). Vogelgriepvirussen (zoals H5N1 (Gs/GD)) kunnen incidenteel een infectie veroorzaken bij mensen. Het ziektebeeld kan hierbij subklinisch tot ernstig zijn, waarbij incidenteel sterfte kan plaatsvinden (20).
Het respiratoir/intestinaal epitheel van vogels bevat vooral N-acetylneuraminezuur-alfa 2,3-galactoseverbinding op de sialoligosaccharide-receptoren, terwijl mensen met name de alfa 2,6-receptoren bezitten. Diep in de longen (ter hoogte van de alveoli) hebben mensen wel alfa 2,3-receptoren. Dit verklaart de gevoeligheid van mensen voor een zeer hoge infectiedruk met AI (5) en de reden waarom deze mensen een longontsteking kunnen ontwikkelen. Daarnaast hebben mensen alfa 2,3-receptoren in de conjunctiva (38). Conjunctivitis is een beschreven klinisch symptoom van met AI-besmette mensen.
Personen die in contact komen met AI van vogels kunnen seroconverteren. Het percentage mensen dat seroconverteert, is sterk afhankelijk van de diagnostische test die wordt gebruikt. Bij mensen die in de pluimveeindustrie werken en in nauw contact komen met besmet pluimvee, vertonen over het algemeen vakertiters (H5N1) dan mensen die niet in nauw contact komen met besmet pluimvee (22).
Het voornaamste klinische symptoom dat wordt waargenomen bij zowel humane LPAI-H7- als HPAI-H7-infecties is conjunctivitis. Echter, zeer ernstige klinische infecties, met soms de dood tot gevolg, komen ook voor, maar zijn vaak in combinatie met onderliggend lijden (5,23). Bij de H7N7-uitbraak in Nederland in 2003 zijn 89 mensen besmet geraakt, leidend tot kliniek. Dit waren allen mensen die met het besmette pluimvee werkten ten tijde van de uitbraak. Eén van de 89 besmette mensen werd ernstig ziek en overleed vijftien dagen na direct contact met het besmette pluimvee. In dit geval werd onder andere mutatie E627K in het PB2 waargenomen. Door deze mutatie kon het virus repliceren bij lagere temperaturen, zoals aanwezig in de bovenste luchtwegen van mensen (5). Humaan speelt sinds maart 2013 ook een LPAI-H7N9-dreiging. Dit virustype wordt met name in Azië aangetoond en veroorzaakte van 2013 tot 2017 meerdere besmettingsgolven bij mensen in China of mensen die recent in China waren geweest. De besmettingen startten in 2013 met een LPAI-H7N9. Vanaf 2017 werd HPAI-H7N9 (hoogpathogeen voor pluimvee) gevonden in humane besmettingsgevallen. Hieruit bleek dat het LPAI-H7N9 gemuteerd was naar een HPAI-H7N9 (5). Door een georganiseerde ‘One Health’-aanpak waarbij pluimvee werd gevaccineerd tegen H7N9 is het aantal humane besmettingsgevallen sinds 2018 met H7N9 drastisch gedaald (20). Zoals onder andere in afbeelding 4 te zien, bestaan er ook nog andere vogel-AI-virussen die infecties bij mensen kunnen veroorzaken (20).

Afbeelding 4. Overzicht A(H5N1)-, A(H5N6)-, A(H9N2)- en A(H7N9)-virus die humane infecties hebben veroorzaakt in de Western Pacific Region en gemeld aan WHO van 1 november 2003 tot 31 juli 2022 (20). De H7N7-besmettingen in Nederland (2003) zijn niet meegenomen in deze grafiek.

Afbeelding 5. HPAI- H5- humane casussen wereldwijd(55)
Overleving
Buiten de gastheer is het AI-virus vrij gevoelig voor de inwerking van omgevingsfactoren. Hitte, hoge of lage zuurgraad en droogte kunnen het virus snel onschadelijk maken. Doordat het AI-virus zijn envelop nodig heeft om infectieus te blijven, zal elke stof die deze envelop kapotmaakt het virus onschadelijk maken. Dit zijn bijvoorbeeld detergentia en organische oplosmiddelen. Het virus kan enige maanden overleven in de mest, maar dit is sterk afhankelijk van de temperatuur en vochtigheid (1). Bij een temperatuur van 62⁰C raakt het virus in vijf minuten geïnactiveerd (24). Het composteren van besmette mest kan dus een effectieve methode zijn om het virus in mest te inactiveren indien de temperatuur in het composteerproces de 60⁰C bereikt. Bij een temperatuur van 4⁰C bedraagt de overleving van het virus 30 tot 35 dagen en 7 dagen bij 20⁰C. In vloeibare mest zou, gedurende de winter, de overleving 105 dagen kunnen bedragen (1). Ammoniakvorming in de mest heeft een inactiverende werking (41).
Desinfectie
In mest of ander organisch materiaal is AI gevoelig voor aldehyden (zoals formaldehyde) en beta-propiolactone. Als het organisch materiaal verwijderd is, kan het virus vernietigd worden door desinfectantia zoals aldehyden (glutaaraldehyde of formaldehyde) phenolen, quaternaire ammoniumverbindingen en oxiderende stoffen, zoals waterstofperoxide. Zoals onder het hoofdstuk ‘Overleving’ vermeld werd, werken stoffen die de lipiden-envelop aantasten ook tegen AI (1).
Epidemiologie AI
Bij vogels
Op locaties waar meerdere watervogels bij elkaar komen, kunnen verschillende subtypen binnen en tussen vogelspecies uitgewisseld worden. Er is een duidelijke link tussen het ontstaan en het verspreiden van AI-subtypen met verschillende broed- en ruigebieden voor watervogels in Noord-Kazachstan, Zuid-Siberië, gebieden rond de Kaspische- en Zwarte Zee, watergebieden rond het oostelijke gebied van de Middellandse Zee en gebieden in Zuidoost-Azië.
Uit de verwantschap van virussen gevonden in de verschillende landen blijkt dat migrerende vogels een belangrijke rol spelen bij de introductie en verspreiding van het HP-H5N1-virus en andere hoogpathogene en laagpathogene AI-virussen in Nederland (25). Met name migrerende watervogels zijn een belangrijke factor in de internationale verspreiding (26).
Primaire introductie van vogelgriep op Nederlandse pluimveebedrijven kan plaatsvinden door insleep van virus vanuit de wilde vogelpopulatie. Secundair kan via ingevoerd besmet pluimvee, gecontamineerde vervoersmiddelen of andere indirecte contacten introductie van het virus in een koppel plaatsvinden. Deze secundaire introductieroute komt in Nederland anno 2020-2025 echter weinig voor door vroege herkenning en snelle aanpak van besmette koppels en de goede mate van biosecurity.
Op het moment dat een besmet bedrijf ontdekt wordt, volgen maatregelen (zoals ruiming van het besmette bedrijf, vervoersbeperkingen en hygiënemaatregelen) vanuit de overheid om verdere verspreiding te voorkomen. Transmissie van het virus bij pluimvee (secundaire introductie) kan namelijk plaatsvinden door direct contact (binnen een koppel of verplaatsing naar ander bedrijf) of contact met besmette mest en via indirect contact met vectoren, zoals de mens, voorwerpen (zoals gereedschap en eiertrays) en vervoersmiddelen. Ook verspreiding via de lucht (airborne-transmissies) komt voor. De infectie kan op bedrijven achterblijven door restanten van pluimvee-excreta, maar ook door besmet ongedierte (insecten en muizen). Om deze reden vindt verplichte reiniging en ontsmetting en een leegstandsperiode plaats op besmette bedrijven. Geïnfecteerde dieren kunnen besmette eieren produceren, zowel besmette eischalen door contaminatie met mest als besmetting van interne delen va het ei (27). De overleving in het ei is langer dan op het ei (intern onderzoek GD). Bewijs voor verticale transmissie ontbreekt. Het virus is embryolytisch, wat maakt dat indien er al verticale transmissie zou plaatsvinden, embryo’s sterven en niet uit het ei komen. Daarnaast speelt dat (met HPAI en soms ook LPAI) besmette hennen veelal acuut uit productie gaan of wel acuut sterven. De nog wel geproduceerde eieren van met HPAI besmette bedrijven worden vernietigd. Dit maakt de mogelijkheid tot verticale transmissie nog kleiner (1).
Bij runderen
De introductie van H5N1 2.3.4.4b B3.13 is waarschijnlijk in eerste instantie het gevolg geweest van een single spillover vanaf een watervogel via een onbekende gastheer naar een rund. Het virus is vervolgens via melkkoeien onderling verspreid en naar contactdieren zoals landvogels, katten, pluimvee en naar mensen(47, 48).
Via transport van besmettelijke runderen, via mensen die contact hadden met besmette runderen zoals melkers en indirect via hun huisgenoten of eigen dieren, via andere erfbetreders en voertuigen, heeft het virus zich naar andere melkveebedrijven en pluimveebedrijven kunnen verspreiden (Afbeelding 6.)

Afbeelding 6. Model van overspringen en verspreiding van HPAI- H5N1 genotype B3.13 naar melkvee. Een reassortment bij een onbekende gastheersoort leidde tot de opkomst van H5N1 genotype B3.13, dat circuleerde onder wilde vogels en zoogdieren voordat het melkvee infecteerde. Na de verspreiding van H5N1 onder melkvee kon het virus zich handhaven en zich efficiënt verspreiden van koe tot koe (intraspecies transmissie) en van koe naar andere soorten, waaronder wilde vogels (een merelachtige genaamd Langstaarttroepiaal of Quiscalus mexicanus) en erfvogels (duiven) en zoogdieren (katten en wasberen) (interspecies transmissie). De verspreiding van het virus tussen boerderijen vond plaats door het verplaatsen van vee tussen boerderijen en waarschijnlijk door het verplaatsen van wilde vogels en besmette voorwerpen, waaronder personeel, gedeelde landbouwmachines en vrachtwagens (voeder-, melk- en/of veewagens)(47).
Vanaf maart 2024 waren alle gedetecteerde infecties van het virus bij melkvee van het genotype B3.13, echter in januari respectievelijk februari 2025 werd in Nevada en in Arizona bij melkkoeien een 2e spillover naar melkvee aangetoond van H5N1 clade 2.3.4.4.b genotype D1.1. Genotype D1.1 representeerde in de winter 2024/2025 het meest voorkomende genotype in Noord Amerika bij trekvogels en is aangetoond in wilde vogels, zoogdieren en bij besmet pluimvee.
Daarmee is gebleken dat de overdracht van AI van vogels naar runderen niet slechts op één enkele spillover berust, maar mogelijk vaker en met meerdere genotypes zou kunnen voorkomen dan aanvankelijk werd verondersteld.
Belangrijke links naar actuele info HPAI
- USDA (United States Department of Agriculture (‘Amerikaanse ministerie van landbouw’)
- Centers for Disease Control and Prevention, USA (‘Amerikaanse RIVM’)
- Current Situation: Bird Flu in Dairy Cows | Bird Flu | CDC
- AVMA, American Veterinary Medical Associaton (‘Amerikaanse KNMvD’)
- Avian influenza virus type A (H5N1) in U.S. dairy cattle | American Veterinary Medical Association
- APHIS (Animal and Plant Health Inspection Service) (‘Amerikaanse NVWA’)
- WOAH (World Organisation for Animal Health)
- https://www.woah.org/en/high-pathogenicity-avian-influenza-hpai-in-cattle/
- https://wahis.woah.org/#/in-review/6446
Verschijnselen van aviaire influenza
Verschijnselen van aviaire influenza bij vogels
Incubatietijd
De incubatietijd van AI bedraagt enkele uren tot drie dagen in een individuele vogel, maar kan enkele dagen tot wel twee weken zijn in een koppel kippen, zeker wanneer het AI-virus nog niet geadapteerd is aan de gastheer. De dosis, inoculatieroute en diersoort (R-waarde van het virus in die diersoort) hebben hier een groot effect op (1).
De klinische verschijnselen
De klinische verschijnselen zijn afhankelijk van de AI-stam, maar ook van de pluimveespecies (1). Hierbij moet worden opgemerkt dat kalkoenen over het algemeen gevoeliger zijn voor LPAI-infecties dan kippen. In casu zijn er minder virusdeeltjes (viral particles) nodig om deze dieren te infecteren (28). Daarnaast kunnen de klinische verschijnselen verergeren bij aanwezigheid van secundaire bacteriële infecties (1).
In het geval van HPAI-stammen beginnen de klinische symptomen vaak met plotselinge stijging van de uitval die in enkele uren tot dagen kan oplopen tot 100 procent. In zeer acuut verlopende gevallen kunnen dieren sterven voordat ze specifieke klinische symptomen laten zien (1). Bij de HPAI-H5N1-uitbraken bij vleesvermeerderingseenden (2021-2022) vielen de acute ernstige daling in voer- en wateropname, de stilte in de stal en de ernstige productiedaling op. De mortaliteit was daarentegen gering tot nauwelijks verhoogd (29).
HPAI kan zich op veel verschillende manieren uiten. De belangrijkste klassieke beelden worden hier opgenoemd.
- acute sterfte
- sufheid, stilte in de stal (‘cathedral silence’, alleen bij snelle verspreiding in het hok)
- cyanose en zwelling van kam en lellen
- subcutane bloedingen
- conjunctivitis
- gezwollen kop
- ademhalingsproblemen
- eiproductiedaling en ei-afwijkingen
- diarree
- Acute peritonitis
- (soms) nerveuze verschijnselen
De ervaring in Nederland met HPAI-uitbraken (H7N7, H5N8 en H5N1) is echter dat het klinische beeld sterk kan variëren en dat mogelijk geen van de bovenstaande beelden, behoudens sterfte (met uitzondering van de vleesvermeerderingseenden), aanwezig hoeft te zijn.
Bij LPAI-stammen kan de infectie geheel subklinisch verlopen, maar er kunnen wel degelijk ook ziektesymptomen waarneembaar zijn: eiproductiedaling, luchtwegproblemen, sinusitis, verminderde voeropname, sloomheid en (gering) verhoogde uitval, mede door secundaire bacteriële infecties. LPAI-stammen kunnen worden onderverdeeld in drie subgroepen (1):
- Avirulent
Avirulente stammen veroorzaken geen kliniek en geen mortaliteit. Bij wilde watervogels worden vaker infecties met avirulente LPAI-stammen gezien. Dit is ook mogelijk in pluimvee. - Mildly virulent (licht virulent)
Primair enkel LPAI-virussen, zonder secundaire pathogenen. Veroorzaken een mortaliteit <5%. Komen vaak in oudere dieren voor en kunnen milde respiratoire klachten en/of productiedalingen veroorzaken. - Moderately virulent (matig virulent)
Matig virulente stammen veroorzaken een mortaliteit tussen 5 en 97 procent. De hoogste mortaliteit wordt gezien in jonge dieren, hennen in productie en ernstig gestreste dieren. Vaak spelen hierbij ook co-infecties met secundaire pathogenen of stressfactoren een rol, maar dit hoeft niet. Laesies die worden gevonden, bevinden zich in de luchtwegen, het legapparaat, de pancreas en de nieren (cellen met trypsin-like enzymen). Uit recent onderzoek is gebleken dat het NA-eiwit een rol kan spelen bij deze verhoogde kliniek doordat bepaalde mutaties op het NA-gen maken dat plasminogeen in staat is het HA-eiwit te splitsen (42).
Matig virulente LPAI-stammen kunnen dus kliniek veroorzaken in een koppel die sterk lijkt op dat van een HPAI-uitbraak. Een voorbeeld van een ‘moderately virulent’ stam is H3N1 (afkomstig uit Belgische koppels in 2019). Hoewel het bij jonge dieren een lage IVPI liet zien (0,13) is het in staat om bij volwassen leghennen een mortaliteit van 58% en een volledige productiedaling van 100% te veroorzaken (30).
De H6N1-uitbraak in 2010 (Nederland) heeft aangetoond dat zowel een meldingsplichtige uitval (volgens Nederlandse norm) als ernstige productiedaling (tot wel 74%) zonder dat de productie terugkomt op het oude niveau, een reëel gevaar is van LPAI (31). Ook van H9N2 is aangetoond dat het langdurige ernstige productiedalingen kan veroorzaken bij leghennen door chronische pathologische veranderingen in het infundibulum (32). Hetzelfde is begin 2024 gezien bij een LP-H5N1 infectie in Nederlandse leghennen waarbij een zeer ernstige blijvende productiedaling en verhoogde uitval werd waargenomen.
Beschrijvingen van de klinische symptomen en het sectiebeeld bij uitbraken van vogelgriep op Nederlandse pluimveebedrijven: Bekijk hier het overzicht met veterinaire updates
Morbiditeit/mortaliteit
De morbiditeit is hoog, de mortaliteit hangt sterk af van de stam en kan variëren van 0% tot 100% (1).
Uitscheiding van de kiem
Geïnfecteerde vogels scheiden virus uit via de neusgaten, bek, conjunctiva en de cloaca: aerosolen en mest. Dit is het gevolg van virusvermeerdering in het ademhalingsstelsel, het spijsverteringsstelsel, nieren en reproductie-organen. Daarnaast kunnen HPAI-virussen ook in de epidermis zoals veren, veerfollikels en klieren zoals de stuitklier aanwezig zijn. Verspreiding van het virus binnen koppels kan door direct en indirect contact door aerosolen, mest (stof) en andere besmette uitvloeiingen van geïnfecteerde dieren. Tussen verschillende koppels is versleping van mest (bijvoorbeeld aan laarzen of materiaal) en stof belangrijk. Ook ongedierte kan een belangrijke rol spelen bij de verspreiding van het virus tussen verschillende koppels. Onder gunstige klimaatomstandigheden is virusoverdracht via de lucht naar dichtbijgelegen boerderijen niet uit te sluiten (1).
Differentiaaldiagnose (DDx)
Bij kippen zal met name NCD, ILT, vlekziekte (Erysipelothrix rhusiopathiae), vogelcholera (Pasteurella multocida), Escherichia coli, botulisme en intoxicaties (bijvoorbeeld ionoforen) soortgelijke letsels geven. Bij acute sterfte van hoge aantallen dieren met een beeld van septicaemie moet ook gedacht worden aan bijvoorbeeld Salmonella Gallinarum. Bij kalkoenen moet gedacht worden aan NCD en Blackhead disease (Histomonas meleagridis), maar ook aan bacteriële aandoeningen zoals Salmonella spp., Ornithobacterium rhinotracheale en Bordetella avium. Ook bij deze dieren staan ionoforen-intoxicaties op de DDx-lijst. Door de grote verscheidenheid aan klinische beelden, is een sluitende differentiaaldiagnose voor AI moeilijk te maken.
Verschijnselen van aviaire influenza bij runderen
Incubatietijd
De incubatietijd van AI bedraagt 1-2 dagen (na experimentele infectie)(45, 58).
De klinische verschijnselen
Een infectie met HPAI bij melkvee geeft algemene griepachtige verschijnselen die in eerste instantie vrij aspecifiek kunnen zijn, waarvoor dus een hele brede differentiaaldiagnose geldt. Enkele opvallende kenmerken:
- gelige tot bruin-rood verkleurde melk uit één of meer kwartieren met een biestachtig aspect en/of gestremde klonterige melk (Afb. 7).
- vaak betreft het in het begin vooral de multipare koeien in mid- tot eind lactatie. Daarna worden vaak ook ziekteverschijnselen gezien bij jongere, verse en eventueel droge koeien.
- plotselinge melkgiftdaling, slap uier, soms drogen een of meer kwartieren volledig op.
- plotselinge daling van herkauwactiviteit en voeropname, soms gepaard gaand met afwijkende dunnere of plakkerige mest
- matige tot soms hoge koorts, milde respiratoire verschijnselen zoals heldere neusuitvloeiing, verhoogde ademfrequentie en soms wat geforceerd ademen.
- dehydratie, sloomheid
- herstel van klinische verschijnselen na circa 5-14 dagen
- herstel van melkproductie duurt vaak meer dan vier weken tot vier maanden en blijft soms uit.
- klinische infecties (20%)
- seroprevalentie in het koppel veel hoger (89,4%) duidend op veel subklinische infecties(53)
- relatief weinig sterfte (<2%), vaak vanwege secundaire aandoeningen
- >1000kg melkverlies per aangedane koe(52)
- Tankmelk Celgetalstijging tot 3-voudig(52)
- kostenschatting $ 504-950/klinisch aangedane koe (2025) (52-53)

Afbeelding 7. Klinische presentatie van HPAI H5N1-infectie bij melkvee. (A) Geïnfecteerde dieren met heldere neusuitvloeiing en involutie van de melkklier/uier (gouden pijlpunten, bovenste afbeeldingen) en depressie (onderste afbeeldingen). (B) Melk van met HPAI-H5N1-besmette dieren met een geelachtige kleur en uiterlijk van colostrum (bovenste panelen) of een kleur die varieert van geelachtig tot roze/bruin. In sommige monsters is stremming van de melk zichtbaar (47).
Morbiditeit/mortaliteit
De morbiditeit is 3-20%, de mortaliteit is meestal laag, maar kan door secundaire infecties hoger worden(47, 53).
De seroprevalentie is hoog (89,4%), waaruit blijkt dat er naast de klinische infecties sprake is van veel subklinische infecties(53).
Uitscheiding van de kiem
Er zijn aanwijzingen dat de verspreiding tussen melkkoeien onderling voor een belangrijk deel plaatsvindt tijdens het melken en dat daarbij ook het risico op infecties van mensen verhoogd is(50). De virusreplicatie is verreweg het hoogst in uierweefsel, waardoor bij klinisch zieke dieren er enorm hoge concentraties virus via melk worden uitgescheiden. Het virus blijft minimaal urenlang infectieus in verse melk. Virusuitscheiding is ook aangetoond in andere lichaamsvloeistoffen zoals neusslijm, oogvocht, pensinhoud en urine, zij het in veel lagere concentraties. In subklinisch geïnfecteerde dieren kan de virusload in neusswabs en urine soms hoger zijn dan bij klinisch zieke dieren(47,49).
In Duitsland is door het Friedrich-Loeffler-Instistuut (FLI), het nationaal referentielaboratorium, aangetoond dat een experimentele intramammaire infectie van melkkoeien met een H5N1 clade 2.3.4.4b-stam van een wilde vogel uit Duitsland alsook een H5N1 clade 2.3.4.4b genotype B3.13-stam uit Texas beiden aansloegen, repliceerden en vergelijkbare verschijnselen veroorzaakte als die bij melkkoeien in de USA worden gezien. Inoculatie van kalveren via de neus leverde matige replicatie, geen ernstige verschijnselen en geen transmissie naar sentinel kalveren op. Uitscheiding van infectieus virus (met piektiters > 109 TCID50ml-1) was het hoogst in melk en aantoonbaar van dag 1 – 8 na inoculatie. In uierweefsel werd tot dag 13 na infectie infectieus virus aangetoond. Met PCR was viraal RNA aantoonbaar in melk vanaf dag 1 na infectie met een piek op dag 3 en bleef aantoonbaar tot dag 20 na infectie(45). Italiaans onderzoek toonde aan dat na intramammaire infectie er immuniteit ontstaat en dat een herinfectie niet resulteerde in verschijnselen noch in virusuitscheiding in melk(46).
Differentiaaldiagnose (DDx)
Vanwege het relatief milde griepachtige ziektebeeld is de differentiaaldiagnose in beginsel heel breed en betreft vele oorzaken van plotselinge melkproductie- en voeropnamedalingen, gepaard gaande met milde tot matige koorts. Zie hiervoor ook het protocol aanpak ‘onbegrepen koorts’(54).
Meer specifiek voor (meervoudige) mastitis aan meerdere kwartieren, slecht reagerend op behandeling, met sterk afwijkend aspect van de melk en een slap uier is Mycoplasma bovis een van meest gelijkende uierinfecties om uit te sluiten.
Bij de combinatie van zieke koeien met dode vogels en of katten op of rond de stal en katten met neurologische verschijnselen zal een mogelijke toxische stof of gas als mogelijke oorzaak in de differentiaaldiagnose overwogen dienen te worden.
Diagnose van aviaire influenza
Diagnose van aviaire influenza bij vogels
Meldingsplichtig
Vogelgriep is een meldingsplichtige ziekte. Op basis van Europese afspraken (AHL + (EU) 2018/1882 + (EU) 2020/687+ (EU) 2020/689) is het bestrijdingsplichtig wanneer er sprake is van een HPAI-virus en is er een verplichting tot het voorkomen van verspreiding bij LPAI (H5 en H7). De afhandeling van verdenkingen en de bestrijding gaan volgens de geldende regelgeving en de instructie van de NVWA.
Klinische symptomen
Bij HPAI valt vooral het acuut verlopende karakter van de ziekte op. Plots optredende sterfte die snel oploopt is een belangrijk kenmerk. Het klinische beeld kan echter sterk variëren; zelfs bij infecties met hetzelfde virustype.
Sectie
Het in de literatuur beschreven klassieke beeld van HPAI omvat (1):
- subcutaan oedeem en bloedingen;
- bloedingen en cyanose van niet-bevederde huid;
- petechiën en grotere bloedingen in het hele lichaam, met name hartspier, borstspieren en kliermaag;
- necrosehaarden op de niet-bevederde huid en in pancreas, hart, milt, en soms in nieren en lever.
- hemorragie en stuwing van longen met interstitiële pneumonie met oedeem;
- splenomegalie.
Naast de bovengenoemde klassieke vorm van influenza kunnen ook andere klinische verschijnselen gevonden worden en kan het beeld zich beperken tot alleen acute sterfte (1).
Infecties met LPAI kenmerken zich de afgelopen jaren door een negatief sectiebeeld of door een beeld dat past bij beginnende sepsis met buikvliesontsteking, eiperitonitis en puntbloedingen.
Laboratorium
RT-PCR
Voor het aantonen van AI-virus (niet subtype-specifiek) wordt gebruikgemaakt van een matrix-gen-RT-PCR waarbij gekeken wordt naar een specifiek deel van het matrixsegment van influenza A-virus. Indien de M-PCR positief is, kan met behulp van sequencing of een reverse transcriptase-PCR (RT-PCR) specifiek voor delen van het H5- en H7-gen verder gespecificeerd worden. Dit kan onder andere het fragment 164-176-bp van de HA0-cleavage site van het influenza A-virus zijn om de pathogeniteit te bepalen op basis van de aanwezigheid van meerdere basische aminozuren. Sommige afnemers eisen dat de leverancier aantoont dat de koppels vrij zijn van het AI-virus. Voor dit doel kan de (M)-AI-PCR ingezet worden op luchtpijp- en cloacaswabs.
Viruskweek
Virus kan geïsoleerd worden uit onder andere trachea, long, lever, milt en darm. De kweek vindt plaats in kippeneieren.
Serologie
Na infectie worden de dieren na 5 tot 7 dagen positief in de AGP-test (agar-gel-precipitatie) voor AI-virus. Na verloop van een aantal weken (enkele maanden op koppelniveau) (9) zullen positieve dieren weer negatief testen in deze test. Niet alle vogelsoorten produceren precipiterende afweerstoffen. Deze zijn groepsspecifiek (AI-type A), niet subtype-specifiek. Aflezen kan plaatsvinden na 24 tot 48 uur.
Als routine-screening voor AI kan gebruikgemaakt worden van een NP-AI-ELISA (enzyme-linked immuno sorbent assay). Deze test detecteert afweerstoffen tegen het nucleoproteïne (NP) en scoort na infectie na 5 tot 7 dagen de eerste positieve dieren en deze dieren blijven, in de commerciële pluimveehouderij, gedurende de rest van hun leven positief. Voor het vaststellen van antilichamen tegen de verschillende subtypen (zoals H5 of H7) is de haemagglutinatie-remmingstest (HAR) beschikbaar. Gebruik van SPF- of SAN-rode bloedcellen wordt door de WOAH voorgeschreven. Aspecifieke reacties treden zelden op. Het te gebruiken AI-antigeen moet aansluiten met de circulerende antigeen-clade-typen. Om vals-positieve reacties door steric hinderance door anti-NA antistoffen te voorkomen is het gebruik van twee stammen met HA type geadviseerd waarbij deze elk een andere NA hebben. Dit is onder Nederlandse omstandigheden veelal niet nodig omdat Nederlands pluimvee doorgaans vrij is van LPAI-infecties.
Bepalen van de intraveneuze pathogeniteitsindex (IVPI)
- Besmettelijk allantoïsvocht van de laagste passage dat beschikbaar is, bij voorkeur van de oorspronkelijke isolatie zonder dat enige selectie heeft plaatsgevonden, wordt tot op 1:10 verdund in een steriele isotonische zoutoplossing tot een oplossing met >4 HAU.
- Bij tien 4 tot 8 weken oude SPF-kuikens wordt 0,1 ml verdunde virusoplossing intraveneus ingespoten.
- De dieren worden gedurende tien dagen om de 24 uur gecontroleerd.
- Bij iedere waarneming wordt voor elk dier één van de volgende aantekeningen gemaakt: normaal (0), ziek* (1), ernstig ziek (2)* of dood (3).
- Het registreren van de resultaten en het berekenen van de index vindt plaats overeenkomstig het volgende voorbeeld:
De index is de gemiddelde score per dier en per waarneming, bijvoorbeeld: 250/100 = 2,50 (zie tabel).
* Dit is uiteraard een subjectief klinisch oordeel, maar normaliter vertonen ‘zieke dieren’ één van de volgende symptomen en ‘ernstig zieke dieren’ meer dan één van de volgende symptomen: ademhalingsstoornissen, depressie, diarree, cyanose van onbevederde huid of lellen, oedeem in het gezicht en/of op het hoofd, zenuwsymptomen.
Bron: www.woah.org/fileadmin/Home/eng/Health_standards/tahm/3.03.04_AI.pdf
Diagnose van aviaire influenza bij runderen
Meldingsplichtig
Meldingsplicht geldt bij een bij een positieve uitslag van een H5 of H7 specifieke ELISA-, HAR-, of PCR-test op monsters van in het wild levende of gehouden zoogdieren. Indien een medewerker van een laboratorium in Nederland een positieve uitslag van een H5 of H7 specifieke ELISA-, HAR- of PCR-test vaststelt in een monster dat afkomstig is van een zoogdier (al dan niet met verschijnselen van influenza), is de medewerker verplicht dit te melden bij de Nederlandse Voedsel- en Warenautoriteit; artikel 1.30, eerste lid, onderdeel b, van het Besluit houders van dieren in combinatie met artikel 2.4 van de Regeling diergezondheid). Het gaat hierbij om alle positieve uitslagen die wijzen op huidige of eerdere infecties met influenza A van het type H5 of H7.
Sectie
In de literatuur is geen pathognomisch (klassiek) beeld van koeien met HPAI beschreven. De pathologische bevindingen die gerapporteerd zijn, zijn niet allemaal eenduidig in aard en omvang en bestaan uit(47, 49, 58, 59):
- Verdikte en verkleurde (biest-achtige) melk soms met vlokken
- Uier slap (geïnvolueerd)
- Mastitis in een of meerdere kwartieren
Histologisch beeld:- Degeneratie en necrose van het alveolaire en ductulaire mammaepitheel
- Neutrofiele en lymfoplasmacytaire mastitis
- Fibrosering
- Hyperemie van slijmvliezen (oog, neus, vagina)
- Nasaal exsudaat
Histologisch beeld:- Vasculitis van slijmvliezen (oog, neus en vagina)
- Multifocaal; kleine foci van consolidatie van de longen
- Interstitiële pneumonie bestaande uit kleine aantallen peribronchiale lymfocyten en plasmacellen
- Afwijkende inhoud in het maagdarmstelsel; plakkerige inhoud, slecht verteerde inhoud

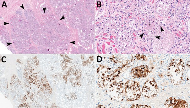
Afbeelding 8. Melkklierlaesies bij runderen in onderzoek naar infectie met het hoogpathogene aviaire influenza A(H5N1) clade 2.3.4.4b-virus bij melkvee en katten, Verenigde Staten, 2024. A, B) Weefselcoupes van de melkklier gekleurd met hematoxyline en eosine. A) Pijltjes geven segmentaal verlies aan in open secretoire melkklieralveoli. Originele vergroting ×40. B) Pijltjes geven epitheliale degeneratie en necrose aan in de bekleding van de alveoli met intraluminale afstoting. Het sterretje geeft intraluminale neutrofiele ontsteking aan. Originele vergroting ×400. C, D) Weefselcoupes van de melkklier gekleurd met behulp van immunohistochemie voor aviaire influenza A. C) Bruine kleuring geeft de lobulaire verspreiding van het aviaire influenza A-virus aan. Originele vergroting ×40. D) Bruine kleuring geeft een sterke nucleaire en intracytoplasmatische immunoreactiviteit aan van intacte en afgestoten epitheelcellen in de melkklierblaasjes. Originele vergroting ×400(49).

Afbeelding 9. Uierweefsel van een indexrund in USA, natuurlijk geïnfecteerd. IAV-nucleoproteine was meer wijd verspreid en intenser in het secretoire alveolaire epitheel dan in het epitheel van de ducti. Je ziet in de melkklieralveoli een intraluminaire ontsteking, voor 83% bestaande uit neutrofielen, 12% macrophagen en 5% lymfocyten. vrij vertaald past dat bij een enorm celgetal en een klonterige biestachtige geel-rode melk. * = neutrofiele onsteking en degeneratie. Driehoekjes: epitheelaantasting. Sterretjes: afstoting en neutrofiele ontsteking in het lumen van de ducti. Zwarte pijlen: vacuolevormende macrofagen. Rode pijlen: neutrofiele ontsteking(51).
Laboratorium
- RT-PCR: voor het aantonen van AI-virus (niet subtype-specifiek) wordt gebruikgemaakt van een generieke Influenza- A- PCR waarbij gekeken wordt naar een specifiek deel van het matrix gen van het influenza A-virus. Indien deze M-PCR positief is, is verdere typering mogelijk m.b.v. genotype specifieke PCR’s of met behulp van sequencing.
- Serologie: Als routine-screening voor AI kan gebruikgemaakt worden van een in de NP-AI-ELISA (enzyme-linked immuno sorbent assay voor AI-virus). Vanaf 7 dagen na infectie kunnen hiermee antistoffen worden aangetoond tegen het nucleoproteïne (NP). Deze dieren blijven gedurende de rest van hun leven positief. Positieve monsters kunnen door GD worden doorgestuurd naar WBVR voor typering van de antistoffen met een Luminex techniek.
Prevalentie van aviaire influenza
Prevalentie van aviaire influenza bij vogels
De AI situatie in de wereld wordt bijgehouden door de World Organisation for Animal Health (WOAH). Op haar internetsite wordt wekelijks in het World Animal Health Information System (WAHIS) aangegeven welke uitbraken van aangifteplichtge aandoeningen er in een bepaalde periode aan de WOAH zijn gemeld.
In Nederland zijn we in 2003 voor het eerst geconfronteerd met HPAI (H7N7) waarbij tijdens de crisis tweederde van de Nederlandse pluimveehouderij is verdwenen. Vanaf 2014 spelen met name uitbraken door HP-H5N1 en HP-H5N8 (en H5-typen met onbekende N-typen) een belangrijke rol.
Uit studies is gebleken dat wilde trekvogels hoogstwaarschijnlijk het HP-H5N8- en later het HP-H5N1-virus in Nederland introduceerden (25,33). De introducties hebben niet geleid tot significante verspreiding tussen pluimveebedrijven. De HP-H5N1 epidemie die in Europa startte in oktober 2021 heeft zich in 2022 voortgezet en gezorgd voor besmettingen op pluimveebedrijven in 25 Europese landen. In enkele gevallen zijn ook andere hoogpathogene typen, zoals H5N8, H5N5 en H7N5 vastgesteld in Europa (34). In Nederland zijn in 2022 76 pluimveebedrijven en 23 locaties met hobbymatig gehouden pluimvee besmet geraakt met HP-H5N1. Ook in 2023, 2024 en 2025 zijn uitbraken met HP-H5N1 in pluimveekoppels vastgesteld in Nederland. Tevens zijn er in 2023, 2024 en 2025 meerdere LPAI-besmettingen vastgesteld bij bedrijfsmatig gehouden leghennen (vrijwel allen met beschikking tot een uitloop) en enkele vleeskuikenkoppels met diverse H- en N-typen. Sinds oktober 2025 zijn er in Nederland en andere Europese landen véél uitbraken van HP-H5N1-virus vastgesteld op zowel commerciële pluimveebedrijven als bij niet commercieel gehouden vogels. Tevens is het aantal wilde vogels, inclusief wilde eenden zonder klinische verschijnselen, waarbij het virus werd aangetoond zeer hoog.
Voor de actuele AI-situatie bij pluimvee in de wereld wordt verwezen naar de WOAH (www.woah.org/en/disease/avian-influenza). De Europese situatie is te vinden op de website van de Europese Commissie, DG SANTE: ec.europa.eu/food/animals/animal-diseases/control-measures/avian-influenza_en
Prevalentie van H5N1 bij runderen
De AI- situatie in de wereld wordt bij gehouden door de World Organisation for Animal Health (WOAH). Op haar internetsite wordt wekelijks in het World Animal Health Information System (WAHIS) aangegeven welke uitbraken van aangifteplichtge aandoeningen er in een bepaalde periode aan de WOAH zijn gemeld.
Nederland
In Nederland zijn geen aanwijzingen voor besmettingen van runderen met H5N1. In 2024 is in opdracht van LVVN, retrospectief onderzoek uitgevoerd door Royal GD in samenwerking met Wageningen Bioveterinary Research, Erasmus Medisch Centrum, Faculteit Diergeneeskunde en RIVM. Hieruit bleek dat er in de periode januari 2022 tot februari 2024 geen aanwijzingen waren voor een infectie van Nederlandse runderen met HPAI-virus(44). Ook in de basismonitoring zijn geen aanwijzingen geweest voor een vermoeden van een HPAI- uitbraak in Nederland.
Europa
Er zijn geen aanwijzingen voor HPAI bij runderen in Europa. Voor de actuele AI-situatie in Europa wordt verwezen naar de European Food Safety Authority (EFSA): https://www.efsa.europa.eu/en/topics/topic/avian-influenza
In Duitsland is een brede prevalentie screening gedaan op serummonsters en tankmelkmonsters waaruit eveneens geen aanwijzingen voor infecties zijn gebleken (Avian influenza: No evidence of H5N1 infection in dairy cows outside the USA | Friedrich-Loeffler-Institut)
USA
Op 25 maart 2024 werd in Texas voor het eerst aangetoond dat zieke melkkoeien besmet waren met HPAI, met virustype H5N1 clade 2.3.4.4b genotype B3.13.
Al enkele maanden daarvoor waren er signalen van een ‘mysterieuze koeienziekte’met matige griepachtige verschijnselen, waarvan de oorzaak langere tijd onbekend was.
Daarna volgden officiele meldingen van 1.081 besmette rundveebedrijven in 18 staten: Kansas, Michigan, New Mexico, Ohio, Idaho, South Dakota, North Carolina, Colorado, Minnesota, Iowa, Wyoming, California, Oklahoma, Oregon, Utah, Nevada, Arizona and Nebraska.
Tot begin 2025 waren alle gedetecteerde infecties van het virus bij melkvee van het genotype B3.13, echter vanaf dat moment werd in Nevada en in Arizona bij melkkoeien een 2e spillover naar melkvee aangetoond van H5N1 clade 2.3.4.4.b genotype D1.1. Genotype D1.1 representeerde in de winter 2024/2025 het meest voorkomende genotype in Noord-Amerika bij trekvogels en is aangetoond in wilde vogels, zoogdieren en bij besmet pluimvee.
Voor de actuele AI-situatie bij runderen in de wereld wordt verwezen naar de WOAH:
Aanpak besmette bedrijven
Aanpak besmette pluimveebedrijven
Meldingsplichtig
AI is een meldingsplichtige ziekte ingevolge artikel 2.12 en 5.3 van de Wet dieren. Indien er een klinische verdenking bestaat op AI, dient dit gemeld te worden bij het centrale meldpunt van de NVWA (tel: 045 546 31 88).
Aanpak
Bij afhandeling van verdenkingen en bij de bestrijding zijn de betreffende draaiboeken uitgangspunt en zijn de dan geldende regelgeving en de instructie van de NVWA leidend. Zie hiervoor het draaiboek AI van het ministerie van Landbouw, Visserij, Voedselzekerheid en Natuur (LVVN).
Aanpak besmette rundveebedrijven
Meldingsplicht
AI bij runderen is niet in de Wet Dieren beschreven en er bestaat ook geen Europees wettelijk kader. Een klinische verdenking is daarom formeel niet meldingsplichtig. Echter, vanwege het mogelijk zoönotisch aspect is door LVVN en de stakeholders een Beleidsdraaiboek HPAI bij melkkoeien opgesteld (jan 2025).
Een positieve testuitslag van AI bij runderen dient wel gemeld te worden bij het centrale meldpunt van de NVWA (tel: 045 546 31 88). Na een melding van een HPAI-positief monster (virus, antigeen of antilichaam) afkomstig van een melkkoe zal de NVWA leidend zijn in de alsdan te nemen maatregelen. Dit kan ook gelden voor een verdenking of aangetoonde infectie bij pluimvee en/of varkens op een ‘gemengd’ bedrijf. Voor meer informatie over de regelgeving, beleids- en/of bestrijdingsdraaiboeken en melden kijk op:
- www.rijksoverheid.nl/documenten/rapporten/2025/01/31/bijlage-6-draaiboek-hpai-melkkoeien
- www.nvwa.nl/onderwerpen/dierziekten/regelgeving-en-draaiboeken
- www.nvwa.nl/onderwerpen/dierziekten/melden-dierziekte
Preventie en monitoring
Preventie Humaan
Persoonlijke beschermingsmiddelen
- overalls
- haarnetje, veiligheidsbril, mondneuskapje
- handschoenen
- laarzen
- profylaxe:
- vaccinatie met humane influenzastammen (griepprik)
- oraal Tamiflu na contact met besmet koppel (antiviraal middel oseltamivir, neuraminidase-remmer)
Management en hygiëne
- implementeer hoog niveau van biosecurity
- vermijd contact met (mest van) watervogels
- vermijd contact met wilde vogels
Download alle voorzorgsmaatregelen (PDF)
Monitoring en Early Warning
Monitoring en Early Warning bij vogels
De verplichte serologische monitoring op AI-antistoffen
Niet-AI-gevaccineerde koppels
De verplichte landelijke monitoring (voor niet AI-gevaccineerde bedrijven) wordt beschreven in de ‘Regeling houders van dieren’. De volgende uitgangspunten worden gehanteerd:
- Bij vleeskuikens, parelhoenders, loopvogels en kwartels wordt per bedrijf jaarlijks een onderzoek uitgevoerd van tenminste 30 dieren* van minimaal 4 weken oud, de monsters dienen op het bedrijf genomen te worden.
- Bij vleeseenden of ganzen wordt per bedrijf jaarlijks een onderzoek uitgevoerd van ten minste 40 dieren* van minimaal 4 weken oud, de monsters dienen op het bedrijf genomen te worden.
- Bij vleeskalkoenen wordt per bedrijf bij elke productieronde een onderzoek uitgevoerd bij ten minste 30 hanen* van ten minste 18 weken oud. Indien geen hanen aanwezig zijn dan worden per productieronde ten minste 30* hennen met een minimale leeftijd van 13 weken onderzocht.
- Bij opfokvermeerderingsdieren vindt per koppel (koppel = stal) onderzoek plaats van bloedmonsters van ten minste 30 dieren met een leeftijd van ten minste 15 weken.
- Bij vermeerderingsdieren vindt een jaarlijks onderzoek plaats van bloedmonsters van ten minste 30 dieren* met een leeftijd van ten minste 45 weken.
- Bij opfoklegdieren vindt per koppel (koppel = stal) onderzoek plaats van bloedmonsters van ten minste 30 dieren met een leeftijd van ten minste 8 weken.
- Bij leghennen op bedrijven zonder uitloop wordt jaarlijks een onderzoek uitgevoerd op bloedmonsters van minimaal 30 dieren* van ten minste 45 weken.
- Bij dieren op bedrijven met een vrije uitloop wordt per kwartaal een onderzoek uitgevoerd bij bloedmonsters afkomstig van ten minste 30 dieren*, onafhankelijk van de leeftijd.
*Indien meerdere stallen aanwezig zijn op het bedrijf moeten de bloedmonsters afkomstig zijn uit alle stallen, naar evenredigheid van het aantal dieren, met een minimum van 5 monsters per stal.
De aansturing van de monstername vindt plaats door GD. Alle bloedmonsters worden door GD onderzocht met behulp van een ELISA-test.
Alle in de screening niet-negatieve monsters worden doorgestuurd naar WBVR voor confirmatie met de H5/H7-HAR-test. In de gevallen dat meer dan 30% van de monsters van één inzending niet negatief (‘positief’) reageert in de screening bij GD, worden alle bloedmonsters van de inzending aangeboden aan WBVR en zal GD deze informatie melden aan de NVWA-piketdienst.
AI-gevaccineerde koppels
Voor de monitoring van AI-gevaccineerde koppels gelden monitoringseisen beschreven in Vo (EU) 2023/361:
- in de inrichtingen waar wordt gevaccineerd, wordt versterkte passieve bewaking uitgevoerd door wekelijke virologische tests van een representatief monster van binnen één week verzamelde dode vogels
- na het begin van de vaccinatie moet een officiële dierenarts in inrichtingen waar wordt gevaccineerd, ten minste om de 30 dagen de volgende actieve bewaking uitvoeren om infectie met een HPAI-veldvirus aan te tonen:
a) een klinisch onderzoek dat bestaat uit een controle van de productie- en gezondheidsgegevens van de inrichting in elke epidemiologische eenheid, met inbegrip van een evaluatie van de klinische voorgeschiedenis ervan en klinische onderzoeken van het pluimvee of de in gevangenschap levende vogels;
b) een verzameling van representatieve monsters voor laboratoriumbewaking door serologisch of virologisch onderzoek om in de epidemiologische eenheid een prevalentie van besmetting met het HPAI-virus aan te kunnen tonen van 5 % met een betrouwbaarheidsniveau van 95 %, waarbij passende methoden en protocollen worden gebruikt om het virus vroegtijdig te kunnen opsporen en rekening wordt gehouden met de specifieke kenmerken van het gebruikte vaccin.
In de praktijk komt dit neer op wekelijks kadaverbemonstering middels RT-PCR en maandelijks analyse middels AI-ELISA op 60 bloedmonsters per stal waarbij tevens ook een klinische inspectie wordt uitgevoerd op deze koppels door de dierenarts.
AI-monitoringsgrenzen
Op 24 oktober 2005 is de regeling ‘AI-monitoring pluimvee’ gewijzigd met als doel eerder een mogelijke infectie met een hoogpathogene AI-stam te kunnen onderkennen. Deze regels, die als doel hebben vogelgriep in een vroeg stadium te ontdekken, zijn nu vastgelegd in de ‘Regeling houders van dieren’. De aangescherpte versie van artikel 3a.2 (melding ziekteverschijnselen vogels) van deze regeling luidt als volgt:
De exploitant van een inrichting waar pluimvee wordt gehouden, meldt elke sterfte van:
- Leghennen, vermeerderingsdieren en vleeskuikens:
Vanaf 10 dagen leeftijd als die óf 2 dagen achtereen ≥ 0,5% is, óf 2 dagen achtereen verdrievoudigd is ten opzichte van de gemiddelde sterfte de week voorafgaand aan de sterfte. - (Vlees)eenden:
Vanaf de zevende dag na opzet: 0,15% of meer uitval per dag gedurende 2 opeenvolgende dagen óf 0,5% of meer uitval op 1 dag en gelijktijdig een voeropname daling van 5%. - Vleeskalkoenen:
Indien op twee opeenvolgende dagen er een sterfte is van 1% of meer per dag; en - Vogelgriep-gevoelige dieren:
Bij sterfte van meer dan 3% per week
De exploitant consulteert een dierenarts indien bij AI-gevoelige dieren:
- een klinisch probleem zichtbaar is;
- op 2 opeenvolgende dagen een reductie van voer- of drinkwateropname is van meer dan 5% per dag; en
- voor zover het leghennen of reproductiedieren betreft, er op 2 opeenvolgende dagen een reductie van de eiproductie is van 5% of meer per dag.
Een melding kan worden gedaan bij het Landelijk meldpunt voor dierziekten van de NVWA (045- 546 31 88). Voor meer informatie: Mijn vogels hebben vogelgriep. Waar moet ik dit melden? | NVWA
Programma 'Onderzoek sectiemateriaal op AI’, ook wel 'AI-uitsluitingsswabs' genoemd.
Met dit programma, ontwikkeld door de overheid samen met GD, WBVR en de sector, wordt de kans op een snelle ontdekking van AI vergroot en daarmee de kans op een verspreiding van een AI-stam (na introductie) verkleind. Het was onmogelijk voor pluimveedierenartsen om koppels pluimvee op de aanwezigheid van AI-virus te laten onderzoeken zonder het koppel eerst als 'verdacht' te melden bij de overheid. Dat heeft de nodige consequenties, zoals bedrijfsblokkade en vervoersbeperkingen. Echter, soms wenst de dierenarts de zekerheid dat het echt geen AI betreft. Met dit programma is dat nu mogelijk geworden; in die gevallen waarin sectie de oorzaak van de aandoening niet (volledig) kan verklaren, kunnen monsters (cloaca- en/of tracheaswabs) worden ingestuurd. Daarmee kan worden uitgesloten dat er een variant van het AI-virus in het spel is. Het programma is op 1 oktober 2006 gestart en vanaf die datum kunnen monsters bij WBVR worden aangeboden voor onderzoek. Het Diergezondheidsfonds vergoedt de kosten voor het onderzoek door WBVR en het transport ernaartoe. Swabs ter uitsluiting van AI dienen te worden vergezeld met het correcte formulier van WBVR, hieronder te downloaden:
Diagnostiek: Pluimvee en (sier)vogels - WUR
Primair blijft natuurlijk dat een verdenking verplicht gemeld dient te worden aan het dierziekte-alarmnummer van de NVWA (telefoonnummer 045-546 31 88). Onder leiding van de NVWA zal een specialistenteam de verdachte locatie binnen drie uur na de melding bezoeken om de situatie ter plekke te beoordelen, monsters te verzamelen en vast te stellen of er daadwerkelijk sprake is van een verdenking van een AI-infectie.
Monitoring en Early Warning H5N1 bij runderen
De landelijke basismonitoring, uitgevoerd door Royal GD is momenteel het instrument waarmee verwacht wordt een eventuele uitbraak snel op te sporen. Praktisch betekent dat dat met name veehouders en dierenartsen, die normaliter de eerste signalen zullen waarnemen, ook bij een vermoeden of gerede twijfel dringend geadviseerd wordt in zo’n geval daarover direct contact op te nemen met de Veekijkertelefoon (088-2025555).
Vaccinatie
Vaccinatie bij vogels
Vaccinatie tegen AI, met levend verzwakte vaccins, is niet toegestaan. Na de H7N7-uitbraak is in Nederland op zeer beperkte schaal gevaccineerd tegen H7N7 met geïnactiveerde vaccins. Eieren van gevaccineerde koppels mochten niet worden geëxporteerd en ook de dieren moesten in Nederland geslacht worden. Controle vond plaats door middel van serologisch onderzoek van sentinels (aanwezige, niet-gevaccineerde gevoelige dieren). Ook een aantal hobbypluimveehouders hebben hun dieren (jaarlijks) laten vaccineren. Gevaccineerde dieren werden geringd en moesten jaarlijks serologisch onderzocht worden. De opgewekte titers waren na deze vaccinatie nogal teleurstellend. De mogelijkheid tot vaccinatie voor H7N7 in Nederland is na enkele jaren ingetrokken en is niet meer van kracht.
De uitbraken van HP-H5N1 die sinds 2021 in Nederland, Europa en zelfs wereldwijd optreden heeft de vraag om te kunnen vaccineren weer actueel gemaakt. De Europese Commissie heeft in februari 2023 een gedelegeerde verordening gepubliceerd (Vo (EU) 2023/361), waarin de regels rondom handel en monitoring en surveillance bij vaccinatie zijn vastgelegd. In Nederland is een recombinant HVT-H5-vaccin geregistreerd voor het gebruik in kippen. Gevaccineerde koppels dienen volgens Vo (EU) 2023/361 te voldoen aan de daarin beschreven monitoringseisen (zie Monitoring en Early Warning van aviaire influenza).
In september 2023 is een veldproef van start gegaan waarbij meerdere (nog niet in Nederland geregistreerde) vaccins zijn getest onder veldomstandigheden. De resultaten van dit onderzoek worden begin 2026 verwacht.
Vaccinatie rund
Vaccinatie tegen AI bij runderen is in Nederland niet toegestaan. Er is ook geen geregistreerd vaccin beschikbaar in Nederland.
De United States Department of Agriculture (USDA) investeert in onderzoek naar vaccinontwikkeling om de spreiding van H5N1 onder dieren te voorkomen. Er zijn geen H5N1-vaccins goedgekeurd voor melkvee in de Verenigde Staten, maar er worden vaccins ontwikkeld en veldproeven uitgevoerd.
Regelgeving
Nederlands en Europees recht
- De meldingsplicht van AI is Europees vastgelegd in de Animal Health Regulation, de Diergezondheidsverordening (EU) 2016/429 (AHS), en gespecificeerd in Uitvoeringsverordening (EU) 2018/1882. Lidstaten melden uitbraken en het vervolg van de dierziektesituatie in het Europese Animal Disease Information System (ADIS). De wijze van rapporteren in ADIS is vastgelegd in uitvoeringsverordening (EU) 2020/2002. Deze meldingsplicht is geïmplementeerd in de Nederlandse Wet dieren, artikel 2.12 en 5.3.
- In de Nederlandse regelgeving zijn een aantal meldcriteria opgenomen om aan te geven bij welke symptomen een vermoeden/verdenking van AI gemeld moet worden aan het Landelijk meldpunt dierziekten via (045) 546 31 88. De criteria staan in artikel 3a.2 van de ‘Regeling houders van dieren’. Bij een dreiging van vogelgriep kunnen extra landelijke maatregelen worden genomen, zoals een aanscherping van de meldcriteria, bezoekersverbod en ophokplicht. Deze zijn opgenomen in de Regeling veterinaire maatregelen specifieke dierziekten of zoönosen. In de dierziekteviewer van de Rijksdienst voor Ondernemend Nederland kan voor elk adres worden opgezocht welke maatregelen actueel zijn.
- Het AI-monitoringsprogramma is gebaseerd op Gedelegeerde verordening (EU) 2020/689 en geïmplementeerd in de ‘Regeling houders van dieren’, artikel 7b.13-7b.16.
- In Vo (EU) 2023/361 staat beschreven dat het verboden is om te vaccineren met een levend (verzwakt) aviair influenzavirus. Daarnaast beschrijft deze verordening aan welke monitoringseisen AI-gevaccineerde koppels dienen te voldoen.
Het volgende Europese rechtskader vormt de basis voor de Nederlandse regels en maatregelen voor de bestrijding van AI:
- Europese Diergezondheidsverordening (EU) 2016/429 (‘Animal Health Regulation’);
- Gedelegeerde Verordening (EU) 2020/687 tot aanvulling van Verordening (EU) 2016/429 van het Europees Parlement en de Raad wat regels voor de preventie en bestrijding van bepaalde in de lijst opgenomen ziekten betreft;
- Gedelegeerde Verordening (EU) 2020/689 tot aanvulling van Verordening (EU) 2016/429 van het Europees Parlement en de Raad wat betreft regels voor bewaking, uitroeiingsprogramma’s en de ziektevrije status voor bepaalde in de lijst opgenomen ziekten en nieuwe ziekten;
- Verordening 2009/1099/EG, artikel 18 – regels ten aanzien van de doding van dieren in geval van dierziekten;
- Uitvoeringsverordening (EU) 2021/620 tot vaststelling van bepalingen ter uitvoering van Verordening (EU) 2016/429 van het Europees Parlement en de Raad wat betreft de goedkeuring van de ziektevrije en non-vaccinatiestatus van bepaalde lidstaten of zones of compartimenten daarvan ten aanzien van bepaalde in de lijst opgenomen ziekten en de goedkeuring van uitroeiingsprogramma’s voor die in de lijst opgenomen ziekten;
- Gedelegeerde verordening (EU) 2023/361 tot aanvulling van verordening (EU) 2016/429 wat betreft regels voor het gebruik van bepaalde diergeneesmiddelen voor de preventie en bestrijding van bepaalde in de lijst opgenomen ziekten.
Regelgeving HPAI bij runderen
Nederlands en Europees recht
AI bij runderen is niet in de Wet Dieren beschreven en er bestaat ook geen Europees wettelijk kader. Een klinische verdenking is daarom formeel niet meldingsplichtig. Echter, vanwege het mogelijk zoönotisch aspect is door LVVN en de stakeholders een Beleidsdraaiboek HPAI bij melkkoeien opgesteld (jan 2025). Een positieve testuitslag van AI bij runderen dient wel gemeld te worden bij het centrale meldpunt van de NVWA (tel: 045 546 31 88). Voor meer informatie over de regelgeving, beleids- en/of bestrijdingsdraaiboeken en melden kijk op:
- www.rijksoverheid.nl/documenten/rapporten/2025/01/31/bijlage-6-draaiboek-hpai-melkkoeien
- www.nvwa.nl/onderwerpen/dierziekten/regelgeving-en-draaiboeken
- www.nvwa.nl/onderwerpen/dierziekten/melden-dierziekte
Websites
Nederlands beleidsdraaiboek
Actuele AI-situatie
- www.rijksoverheid.nl/onderwerpen/vogelgriep
- Vogelgriep | NVWA
- Mijn vogels hebben vogelgriep. Waar moet ik dit melden? | NVWA
- Dossier Vogelgriep | Royal GD
Websites betreffende H5N1 bij runderen
- www.rijksoverheid.nl/documenten/rapporten/2025/01/31/bijlage-6-draaiboek-hpai-melkkoeien
- www.nvwa.nl/onderwerpen/dierziekten/regelgeving-en-draaiboeken
- www.nvwa.nl/onderwerpen/dierziekten/melden-dierziekte
- USDA (United States Department of Agriculture (‘Amerikaanse ministerie van landbouw’)
- Centers for Disease Control and Prevention, USA (‘Amerikaanse RIVM’)
- Current Situation: Bird Flu in Dairy Cows | Bird Flu | CDC
- AVMA, American Veterinary Medical Associaton (‘Amerikaanse KNMvD’)
- Avian influenza virus type A (H5N1) in U.S. dairy cattle | American Veterinary Medical Association
- APHIS (Animal and Plant Health Inspection Service) (‘Amerikaanse NVWA’)
- WOAH (World Organisation for Animal Health)
- www.woah.org/en/high-pathogenicity-avian-influenza-hpai-in-cattle/
- wahis.woah.org/#/in-review/6446
- www.avma.org/resources-tools/animal-health-and-welfare/animal-health/avian-influenza/avian-influenza-virus-type-h5n1-us-dairy-cattle
Bronvermelding
- Diseases of Poultry, Influenza. In: Diseases of Poultry. John Wiley & Sons; 2020. (14; vol. 1).
- Skelton RM, Huber VC. Comparing influenza virus biology for understanding influenza d virus. Viruses. 2022;14(5):1036.
- Webster RG, Bean WJ, Gorman OT, Chambers TM, Kawaoka Y. Evolution and ecology of influenza A viruses. Microbiol Rev. maart 1992;56(1):152-79.
- Wu Y, Wu Y, Tefsen B, Shi Y, Gao GF. Bat-derived influenza-like viruses H17N10 and H18N11. Trends Microbiol. 2014;22(4):183-91.
- Li YT, Linster M, Mendenhall IH, Su YC, Smith GJ. Avian influenza viruses in humans: lessons from past outbreaks. Br Med Bull. 2019;132(1):81-95.
- Causey D, Edwards SV. Ecology of avian influenza virus in birds. J Infect Dis. 2008;197(Supplement_1):S29-33.
- Vreman S, Kik M, Germeraad E, Heutink R, Harders F, Spierenburg M, e.a. Zoonotic Mutation of Highly Pathogenic Avian Influenza H5N1 Virus Identified in the Brain of Multiple Wild Carnivore Species. Pathogens. 2023;12(2):168.
- Elsmo EJ, Wunschmann A, Beckmen KB, Broughton-Neiswanger LB, Buckles EL, Ellis J, e.a. Pathology of natural infection with highly pathogenic avian influenza virus (H5N1) clade 2.3. 4.4 b in wild terrestrial mammals in the United States in 2022. bioRxiv. 2023;2023-03.
- Leguia M, Garcia-Glaessner A, Muñoz-Saavedra B, Juarez D, Barrera P, Calvo-Mac C, e.a. Highly pathogenic avian influenza A (H5N1) in marine mammals and seabirds in Peru. Nat Commun. 2023;14(1):5489.
- Agüero M, Monne I, Sánchez A, Zecchin B, Fusaro A, Ruano MJ, e.a. Highly pathogenic avian influenza A(H5N1) virus infection in farmed minks, Spain, October 2022. Eurosurveillance [Internet]. 19 januari 2023 [geciteerd 4 december 2023];28(3). Beschikbaar op: https://www.eurosurveillance.org/content/10.2807/1560-7917.ES.2023.28.3.2300001
- Lindh E, Lounela H, Ikonen N, Kantala T, Savolainen-Kopra C, Kauppinen A, e.a. Highly pathogenic avian influenza A(H5N1) virus infection on multiple fur farms in the South and Central Ostrobothnia regions of Finland, July 2023. Eurosurveillance [Internet]. 3 augustus 2023 [geciteerd 4 december 2023];28(31). Beschikbaar op: https://www.eurosurveillance.org/content/10.2807/1560-7917.ES.2023.28.31.2300400
- Ly H. Highly pathogenic avian influenza H5N1 virus infections of dairy cattle and livestock handlers in the United States of America. Virulence. 31 december 2024;15(1):2343931.
- Kuiken T, Rimmelzwaan G, Van Riel D, Van Amerongen G, Baars M, Fouchier R, e.a. Avian H5N1 Influenza in Cats. Science. 8 oktober 2004;306(5694):241-241.
- Chen Y, Zhong G, Wang G, Deng G, Li Y, Shi J, e.a. Dogs are highly susceptible to H5N1 avian influenza virus. Virology. 2010;405(1):15-9.
- Amonsin A, Songserm T, Chutinimitkul S, Jam-on R, Sae-Heng N, Pariyothorn N, e.a. Genetic analysis of influenza A virus (H5N1) derived from domestic cat and dog in Thailand. Arch Virol. oktober 2007;152(10):1925-33.
- Klopfleisch R, Wolf PU, Wolf C, Harder T, Starick E, Niebuhr M, e.a. Encephalitis in a stone marten (Martes foina) after natural infection with highly pathogenic avian influenza virus subtype H5N1. J Comp Pathol. 2007;137(2-3):155-9.
- Zhang X, Cunningham FL, Li L, Hanson-Dorr K, Liu L, Waters K, e.a. Tissue Tropisms of Avian Influenza A Viruses Affect Their Spillovers from Wild Birds to Pigs. Parrish CR, redacteur. J Virol. 23 november 2020;94(24):e00847-20.
- Veldhuis Kroeze EJB, Kuiken T. Sporadic influenza A virus infections of miscellaneous mammal species. In: Swayne DE, redacteur. Animal Influenza [Internet]. 1ste dr. Wiley; 2016 [geciteerd 4 december 2023]. p. 557-93. Beschikbaar op: https://onlinelibrary.wiley.com/doi/10.1002/9781118924341.ch23
- Jallow MM, Barry MA, Fall A, Ndiaye NK, Kiori D, Sy S, e.a. Influenza A Virus in Pigs in Senegal and Risk Assessment of Avian Influenza Virus (AIV) Emergence and Transmission to Human. Microorganisms. 2023;11(8):1961.
- Skufca J, Bell L, Molino JP, Saulo D, Lee CK, Otsu S, e.a. An epidemiological overview of human infections with HxNy avian influenza in the Western Pacific Region, 2003–2022. West Pac Surveill Response J WPSAR. 2022;13(4):1.
- Girard MP, Tam JS, Assossou OM, Kieny MP. The 2009 A (H1N1) influenza virus pandemic: A review. Vaccine. 2010;28(31):4895-902.
- Chen X, Wang W, Wang Y, Lai S, Yang J, Cowling BJ, e.a. Serological evidence of human infections with highly pathogenic avian influenza A(H5N1) virus: a systematic review and meta-analysis. BMC Med. december 2020;18(1):377.
- Fouchier RAM, Schneeberger PM, Rozendaal FW, Broekman JM, Kemink SAG, Munster V, e.a. Avian influenza A virus (H7N7) associated with human conjunctivitis and a fatal case of acute respiratory distress syndrome. Proc Natl Acad Sci. 3 februari 2004;101(5):1356-61.
- Inactivation of Avian Influenza Viruses by Chemical Agents and Physical Conditions: A Review - De Benedictis - 2007 - Zoonoses and Public Health - Wiley Online Library [Internet]. [geciteerd 14 mei 2024]. Beschikbaar op: https://onlinelibrary.wiley.com/doi/abs/10.1111/j.1863-2378.2007.01029.x
- Counotte MJ, Petie R, van Klink EGM, de Vos CJ. A Generic Risk Assessment Model for Animal Disease Entry through Wildlife: The Example of Highly Pathogenic Avian Influenza and African Swine Fever in The Netherlands. Ren LZ, redacteur. Transbound Emerg Dis. 23 februari 2023;2023:9811141.
- Xu Y, Gong P, Wielstra B, Si Y. Southward autumn migration of waterfowl facilitates cross-continental transmission of the highly pathogenic avian influenza H5N1 virus. Sci Rep. 2016;6(1):30262.
- Beato MS, Capua I. Transboundary spread of highly pathogenic avian influenza through poultry commodities and wild birds: a review. Rev Sci Tech Int Epizoot. 2011;30(1):51-61.
- Tumpey TM, Kapczynski DR, Swayne DE. Comparative susceptibility of chickens and turkeys to avian influenza A H7N2 virus infection and protective efficacy of a commercial avian influenza H7N2 virus vaccine. Avian Dis. 2004;48(1):167-76.
- Wolters WJ, Vernooij JCM, Spliethof TM, Wiegel J, Elbers ARW, Spierenburg MAH, e.a. Comparison of the Clinical Manifestation of HPAI H5Nx in Different Poultry Types in the Netherlands, 2014–2022. Pathogens. april 2024;13(4):280.
- De Wit JJ, Fabri THF, Molenaar RJ, Dijkman R, De Bruijn N, Bouwstra R. Major difference in clinical outcome and replication of a H3N1 avian influenza strain in young pullets and adult layers. Avian Pathol. 3 mei 2020;49(3):286-95.
- Landman WJM, Germeraad EA, Kense MJ. An avian influenza virus H6N1 outbreak in commercial layers: case report and reproduction of the disease. Avian Pathol. 4 maart 2019;48(2):98-110.
- Bonfante F, Mazzetto E, Zanardello C, Fortin A, Gobbo F, Maniero S, e.a. A G1-lineage H9N2 virus with oviduct tropism causes chronic pathological changes in the infundibulum and a long-lasting drop in egg production. Vet Res. december 2018;49(1):83.
- Beerens N, Heutink R, Harders F, Roose M, Pritz-Verschuren SB, Germeraad EA, e.a. Incursion of novel highly pathogenic avian influenza A (H5N8) virus, the Netherlands, October 2020. Emerg Infect Dis. 2021;27(6):1750.
- Avian influenza - European Commission [Internet]. [geciteerd 11 december 2023]. Beschikbaar op: https://food.ec.europa.eu/animals/animal-diseases/diseases-and-control-measures/avian-influenza_en
- Front Vet Sci. 2018; 5: 8. Geographical and Historical Patterns in the Emergences of Novel Highly Pathogenic Avian Influenza (HPAI) H5 and H7 Viruses in Poultry
- A R W Elbers 1, T H F Fabri, T S de Vries, J J de Wit, A Pijpers, G Koch Avian Dis . 2004 Sep;48(3):691-705. doi: 10.1637/7149. The highly pathogenic avian influenza A (H7N7) virus epidemic in The Netherlands in 2003--lessons learned from the first five outbreaks
- Xing, X., Shi, J., Cui, P., Yan, C., Zhang, Y., Zhang, Y., … Chen, H. (2024). Evolution and biological characterization of H5N1 influenza viruses bearing the clade 2.3.2.1 hemagglutinin gene. Emerging Microbes & Infections, 13(1). https://doi.org/10.1080/22221751.2023.2284294
- Kumlin U, Olofsson S, Dimock K, Arnberg N. Sialic acid tissue distribution and influenza virus tropism. Influenza Other Respir Viruses. 2008 Sep;2(5):147-54. doi: 10.1111/j.1750-2659.2008.00051.x. PMID: 19453419; PMCID: PMC4941897.
- Fereidouni, Sasan, Elke Starick, Kobey Karamendin, Cecilia Di Genova, Simon D. Scott, Yelizaveta Khan, Timm Harder, and Aidyn Kydyrmanov. "Genetic characterization of a new candidate hemagglutinin subtype of influenza A viruses." Emerging microbes & infections 12, no. 2 (2023): 2225645.
- Yassine, Hadi M., Chang-Won Lee, and Yehia M. Saif. "Interspecies transmission of influenza A viruses between swine and poultry." Swine Influenza (2011): 227-240.
- Emmoth, E., B. Vinnerås, J. Ottoson, A. Albihn, and S. Belák. "Ammonia treatment of hatchery waste for elimination of avian flu and model viruses: treatment recommendations." In 13th RAMIRAN International Conference, p. 176.
- Schön, Jacob, Angele Breithaupt, Dirk Höper, Jacqueline King, Anne Pohlmann, Rokshana Parvin, Klaus-Peter Behr et al. "Neuraminidase-associated plasminogen recruitment enables systemic spread of natural avian Influenza viruses H3N1." PLoS Pathogens 17, no. 4 (2021): e1009490.
- Ruiz M, Puig A, Bassols M, Fraile L, Armengol R. Influenza D Virus: A Review and Update of Its Role in Bovine Respiratory Syndrome. Viruses. 2022 Dec 5;14(12):2717. doi: 10.3390/v14122717. PMID: 36560721; PMCID: PMC9785601.
- Fabri, N.D., Santman-Berends, I.M.G.A., Roos, C.A.J., van Schaik, G., het Lam, J., Germeraad, E.A., Mars, M.H. No indication of highly pathogenic avian influenza infections in Dutch cows. JDS Communications, Volume 6, Issue 3, 394 - 399
- Halwe, N.J., Cool, K., Breithaupt, A. et al. H5N1 clade 2.3.4.4b dynamics in experimentally infected calves and cows. Nature 637, 903–912 (2025). https://doi.org/10.1038/s41586-024-08063-y
- Facciuolo, A., Aubrey, L., Barron-Castillo, U. et al. Dairy cows develop protective immunity against reinfection with bovine H5N1 influenza virus. Nat Microbiol 10, 1366–1377 (2025). https://doi.org/10.1038/s41564-025-01998-6
- Caserta, L. C., Frye, E. A., Butt, S. L., Laverack, M., Nooruzzaman, M., Covaleda, L. M., ... & Diel, D. G. (2024). Spillover of highly pathogenic avian influenza H5N1 virus to dairy cattle. Nature, 634(8034), 669-676.
- Nguyen, T. Q., Hutter, C. R., Markin, A., Thomas, M., Lantz, K., Killian, M. L., ... & Anderson, T. K. (2025). Emergence and interstate spread of highly pathogenic avian influenza A (H5N1) in dairy cattle in the United States. Science, 388(6745), eadq0900.
- Burrough, E. R., Magstadt, D. R., Petersen, B., Timmermans, S. J., Gauger, P. C., Zhang, J., ... & Main, R. (2024). Highly pathogenic avian influenza A (H5N1) clade 2.3. 4.4 b virus infection in domestic dairy cattle and cats, United States, 2024. Emerging infectious diseases, 30(7), 1335.
- Le Sage, V., Campbell, A. J., Reed, D. S., Duprex, W. P., & Lakdawala, S. S. (2024). Influenza H5N1 and H1N1 viruses remain infectious in unpasteurized milk on milking machinery surfaces. MedRxiv.
- Nelli RK, Harm TA, Siepker C, Groeltz-Thrush JM, Jones B, Twu NC, Nenninger AS, Magstadt DR, Burrough ER, Piñeyro PE, Mainenti M, Carnaccini S, Plummer PJ, Bell TM. Sialic Acid Receptor Specificity in Mammary Gland of Dairy Cattle Infected with Highly Pathogenic Avian Influenza A(H5N1) Virus. Emerg Infect Dis. 2024 Jul;30(7):1361-1373. doi: 10.3201/eid3007.240689. Epub 2024 Jun 11. PMID: 38861554; PMCID: PMC11210646.
- Rodriguez, Zelmar et al. Characterization and health, productivity, and economic effects of highly pathogenic avian influenza H5N1 outbreak in dairy cattle. Journal of Dairy Science, Volume 108, Issue 6, 6349 – 6358, June 2025.
- Peña-Mosca, F., Frye, E.A., MacLachlan, M.J. et al. The impact of highly pathogenic avian influenza H5N1 virus infection on dairy cows. Nat Commun 16, 6520 (2025). https://doi.org/10.1038/s41467-025-61553-z
- het Lam, J.; Smits, D.; van Garderen, E.; Bisschop, P.I.H., Uitbraak ‘onbegrepen koorts’ vraagt op protocollaire aanpak. Tijdschrift voor Diergeneeskunde, deel 148, 2023, Afl 6, p.34-37, ISSN 00407453.
- Beatriz Bellido-Martín, Willemijn F. Rijnink, Matteo Iervolino, Thijs Kuiken, Mathilde Richard & Ron A. M. Fouchier. Evolution, spread and impact of highly pathogenic H5 avian influenza A viruses. Nat Rev Microbiol (2025). https://doi.org/10.1038/s41579-025-01189-4
- Alkie, Tamiru N. et al. 2025. Dairy cow- and avian-origin clade 2.3.4.4b H5N1 induce severe mastitis in lactating goats and transmission to suckling goats. Cell Reports, Volume 44, Issue 10, 116346
- Nooruzzaman, M., de Oliveira, P.S.B., Butt, S.L. et al. H5N1 influenza virus stability and transmission risk in raw milk and cheese. Nat Med (2025). https://doi.org/10.1038/s41591-025-04010-0
- Baker, A.L., Arruda, B., Palmer, M.V. et al. Dairy cows inoculated with highly pathogenic avian influenza virus H5N1. Nature 637, 913–920 (2025).
- Sanchez-Rojas, I.C.; Bonilla-Aldana, D.K.; Solarte-Jimenez, C.L.; Bonilla-Aldana, J.L.; Acosta-España, J.D.; Rodriguez-Morales, A.J. Highly Pathogenic Avian Influenza (H5N1) Clade 2.3.4.4b in Cattle: A Rising One Health Concern. Animals 2025, 15, 1963.