- Home
- Producten-en-diensten
- Pathologie
- Pathologie casussen
- Casussen gezelschapsdieren
Pathologie casussen gezelschapsdieren
Ziekte en sterfte hebben een grote impact op veehouderijen. Naast economische schade en een afname van het dierenwelzijn geeft het onzekerheid. Een snelle en effectieve strategie voor de aanpak is dan belangrijk. Pathologisch onderzoek op een gestorven dier geeft inzicht in de doodsoorzaak en levert mogelijk aanwijzingen op voor een bedrijfsprobleem. Deze essentiële informatie kan leiden tot een effectieve aanpak van de bestrijding van dierziekten. Vervolgens kunnen dierenarts en veehouder samen snel en effectief een behandeling inzetten en verdere economische schade beperken.

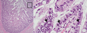
Een 17 dagen oude pup ging dood na klachten van diarree. Op 15 dagen leeftijd ontwikkelde het dier klachten van diarree en niet willen drinken; meerdere nestgenoten hadden last van diarree.
Lees verder

Een kat werd in de praktijk aangeboden met een omschreven stevig bultje in de nek. Daarvan is een DNAB genomen om meer duidelijkheid over het type proliferatie te krijgen.
Lees verder

Chico, een 12-jarige gecastreerde reu van gemengd ras, wordt eind december aangeboden in verband met acute braakklachten, waarbij ook bloed gebraakt wordt.
Lees verder

Fluctuerende bilaterale zwelling aan de plantaire zijde van de achterpoten, net proximaal van het grote zoolkussen. Uit de laesies werd beiderzijds 3-4 milliliter serohemorrhagisch vocht verwijderd.
Lees verder

Sinds een paar dagen slecht eten, bloederige diarree, drinkt wel. De pup vertoonde opvallend gele slijmvliezen, en geelverkleuring van de organen en weefsels passend bij icterus.
Lees verder

Een vijf jaar oude, vrouwelijke gesteriliseerde Chihuahua werd in de praktijk aangeboden voor onderzoek wegens progressieve zwelling en pijn aan de teen.
Lees verder

Een pup van 7 weken oud arriveerde tijdens de spoeddienst bij de dierenarts in soporeuze toestand met een zwakke ademhaling, ondertemperatuur en cyanose.
Lees verder

In een zes weken oud nestje van dertien Dalmatiƫr pups werden drie vrouwelijke dieren slap. Ook stopten ze met eten en drinken.
Lees verder

Australian Shepherd Dog. 8 maanden oud. kwam als pup vanuit Hongarije naar Nederland. Vanaf zijn aankomst moest het dier vrijwel dagelijks braken en had in wisselende mate diarree.
Lees verder

Teef met nest pasgeboren pups. De teef werd plotseling ziek en stierf binnen korte tijd, ook 2 pups zijn gestorven.
Lees verder