- Home
- Producten-en-diensten
- Pathologie
- Pathologie casussen
- Casussen-kleine-herkauwers
Casussen kleine herkauwers
Ziekte en sterfte hebben een grote impact op veehouderijen. Naast economische schade en een afname van het dierenwelzijn geeft het onzekerheid. Een snelle en effectieve strategie voor de aanpak is dan belangrijk. Pathologisch onderzoek op een gestorven dier geeft inzicht in de doodsoorzaak en levert mogelijk aanwijzingen op voor een bedrijfsprobleem. Deze essentiële informatie kan leiden tot een effectieve aanpak van de bestrijding van dierziekten. Vervolgens kunnen dierenarts en veehouder samen snel en effectief een behandeling inzetten en verdere economische schade beperken.

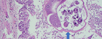
Aangekochte koppel schapen met een slechte conditie. De dieren ontwikkelen zich niet goed en er is sterfte. Ze worden samen gehuisvest met de eigen koppel, die het wel goed doet.
Lees verder