- Home
- Producten-en-diensten
- Pathologie
- Pathologie casussen
- Casussen pluimvee
Pathologie casussen pluimvee
Ziekte en sterfte hebben een grote impact op veehouderijen. Naast economische schade en een afname van het dierenwelzijn geeft het onzekerheid. Een snelle en effectieve strategie voor de aanpak is dan belangrijk. Pathologisch onderzoek op een gestorven dier geeft inzicht in de doodsoorzaak en levert mogelijk aanwijzingen op voor een bedrijfsprobleem. Deze essentiële informatie kan leiden tot een effectieve aanpak van de bestrijding van dierziekten. Vervolgens kunnen dierenarts en veehouder samen snel en effectief een behandeling inzetten en verdere economische schade beperken.

Op een bedrijf was een verhoogde uitval bij de hanen. De hanen blijken dikke lellen te hebben waar veel ontstekingexsudaat in zit.
Lees verder

Bij langdurige blootstelling aan hoge concentraties ammoniak kan hoornvliesschade optreden. Klinische verschijnselen zijn krabben naar de ogen, lijken blind en verlaagde eiproductie.
Lees verder

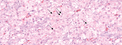
Begin 2025 liep de uitval bij vleeskuikenkoppels zo hoog op dat er een vogelgriepverdenking werd uitgesproken, maar nader onderzoek toonde een beeld van ‘inclusion body hepatitis’ (IBH).
Lees verder

Bij een koppel leghennen dat tot voor kort goed presteerde was sprake van een voeropname- en productiedaling en een lichte stijging in de uitval.
Lees verder

De hennen hadden de piek van productie niet gehaald en bij sectie werden cysteuze oviducten (eileiders) waargenomen. Vraag van de inzender: is dit het schijnleg syndroom?
Lees verder

Tijdens de opfokperiode ontwikkelden meerdere hennen in een korte periode locomotieproblemen en verlammingsverschijnselen.
Lees verder

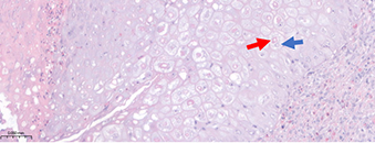
Uitval is al geruime tijd wat verhoogd (0,3 procent per week). Tijdens sectie werden in diverse organen, waaronder lever, kliermaag, milt en in de skeletspieren, witte haarden gevonden.
Lees verder

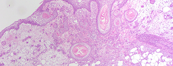
Aan de slachtlijn werden op het geplukte karkas afwijkingen gezien. Voor zover bekend waren er voorafgaand geen gezondheidsproblemen in het koppel.
Lees verder

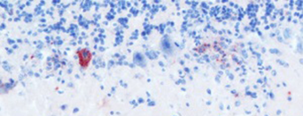
GD ontving negen dode leghennen van rond de 90 weken oud voor pathologisch onderzoek. De hennen kwamen van een legbedrijf met uitloop. De klacht: plots fors verhoogde uitval in het koppel.
Lees verder

In korte tijd kwamen bij GD drie inzendingen binnen van dieren met klachten van luchtwegproblemen, verhoogde uitval, slome dieren en dalingen in de productie en voeropname.
Lees verder