- Home
- Producten-en-diensten
- Pathologie
- Pathologie casussen
- Casussen-varkens
Pathologie casussen varkens
Ziekte en sterfte hebben een grote impact op veehouderijen. Naast economische schade en een afname van het dierenwelzijn geeft het onzekerheid. Een snelle en effectieve strategie voor de aanpak is dan belangrijk. Pathologisch onderzoek op een gestorven dier geeft inzicht in de doodsoorzaak en levert mogelijk aanwijzingen op voor een bedrijfsprobleem. Deze essentiële informatie kan leiden tot een effectieve aanpak van de bestrijding van dierziekten. Vervolgens kunnen dierenarts en veehouder samen snel en effectief een behandeling inzetten en verdere economische schade beperken.
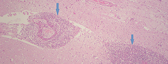
Bij acuut gestorven gespeende biggen werd de diagnose nitraat/nitriet-intoxicatie gesteld. Door adequaat ingrijpen is verdere problematiek voorkomen.
Lees verder
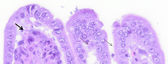
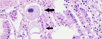
Wisselende diarree bij biggen van gelten, waarbij in 1 toom 75% sterfte optrad. Drie van de 4 ingezonden biggen vertoonden diep liggende ogen passend bij uitdroging.
Lees verder
Er werden 4 biggen aangeboden voor onderzoek. De biggen verkeerden in een cachectische voedingstoestand en waren uitgedroogd. De magen waren leeg of bevatten weinig inhoud.
Lees verder
Gezond varken, plotseling verstarring, kon niet meer lopen, kop naar rechts en zwaar hijgen. Verder was de zeug drachtig, waarbij onduidelijk was of de partus al was aangevangen.
Lees verder
De ene dag lijkt er in de stal nog niets aan de hand. De varkens eten en drinken goed en zijn rustig. Wanneer je de volgende dag de stal binnenloopt, zie je onverwacht enkele dode varkens liggen.
Lees verder